Prof. Dr. Reha N. Tandoğan
Özgeçmiş
Ulusal Yayınlar
Uluslararası Yayınlar
Kitaplar
2025 Bilimsel Etkinlikler
Diz Protezinde Kişiye Özel Dizilim Tekniklerinin Uygulanması Sonuçları İyileştiriyor
Son yıllarda, diz protezi sonuçlarını daha da iyileştirmek için yapılan çalışmalardan bir tanesi de kişiye özel dizilim felsefelerinin uygulanmaya başlanmış olmasıdır. Yapılan araştırmalar, bu yöntemle yapılan diz protezlerinin sonuçlarının daha iyi olduğu, hastaların ameliyatlı dizlerini daha normal dize yakın hissettiklerini ortaya koymaktadır. Kişiye özel dizilim teknikleri, çoğunlukla robotik cerrahi gibi hassas planlama ve uygulamayı sağlayan dijital teknolojiler ile yapılır.

Devamını Oku

Devamını Oku
Başarısız Ön Çapraz Bağ Cerrahisi
Ön çapraz bağ onarımı sonrası yeniden cerrahi gereksinimi en sık dizdeki boşluk hissinin tekrarladığı durumlarda yani “instabilite” için gerekli olur. İlk cerrahi sırasında bağ görevini yapacak şekilde onarılmadıysa veya iyileşen bağ yeni bir darbe sonrası tekrar koptu ise instabilite ortaya çıkar. Günlük yaşamda ön çapraz bağ yetmezliğine bağlı dizde güvensizlik, yerinden çıkıp girme hissi, şişlik ve ağrı ile kendini gösterir.

Devamını Oku

Devamını Oku
Çocuk ve Ergenlerde Ön Çapraz Bağ Yaralanmalarının Tedavisi
Genç yaşlarda spora katılımın artması ve giderek daha rekabetçi hale gelmesi, büyümesi tamamlanmamış çocuk ve ergenlerde ön çapraz bağ yaralamalarının görülme sıklığını artırmıştır. Çocuklarda ön çapraz bağ yaralanmaları kemik yapışma yerinden kopma kırıkları şeklinde olabileceği gibi, bağın gövdesinden olan yırtılmalar şeklinde de karşımıza çıkabilir.

Devamını Oku

Devamını Oku
İleri kıkırdak yenileme teknolojilerinde tek aşamalı cerrahiler

Eklem kıkırdağının kendiliğinden iyileşme yeteneği yoktur. Kıkırdak zarar gördüğünde vücut bunu onaramaz ve hareket sisteminde ciddi sorunlara yol açar. Son yıllarda kıkırdak onarımı konusunda birçok yenilikler ortaya çıkmıştır. Klasik olarak uygulanan mikro-kırık yönteminin sonuçları 5 yıldan sonra giderek kötüleşmektedir.
Devamını Oku
Diz kapağı (Patella) çıkıklarında kişiye özel tedavi gerekir
Diz kapağı (patella) kemiği, diz ekleminin çok önemli bir parçasıdır. Diz kapağı çıkıkları oldukça nadir yaralanmalar olup genel toplumda yüz binde 6 sıklığında görülürler. Kız çocukları ve 17 yaş altında daha sık ortaya çıkarlar. Patella çıkığı olan kişilerin % 15'inde ailede başka birisinde çıkık olmuştur. Bir dizde patella çıkığı olduktan sonra, diğer dizde de çıkık görülme riski oldukça yüksektir.

Devamını Oku

Devamını Oku
Omuz kas yırtıklarında artroskopik tedavi

Omuz çevresi kas yırtıkları sık görülen sorunlardır. Rotator manşet adı verilen bu kas grubu genç hastalarda şiddetli bir düşme veya travma sonrasına, yaşlı hastalarda ise aşınma/yıpranmaya bağlı olarak yırtılabilir. Omuz çevresi kas yırtıklarının en önemli bulgusu ağrıdır. Ağrı genellikle omuzun dış yanından başlayıp kolun ortasına kadar devam eder, genellikle kolunuzu yukarı kaldırırken ortaya çıkar.
Devamını Oku
Total diz protezi nedir
Total diz protezi, aşınmış olan eklem yüzlerinin, metal ve polietilenden imal edilen, ağrısız eklem hareketi için tasarlanmış özel parçalar ile kaplanarak yapay bir eklem oluşturulmasıdır. İlk kez 1968 yılında uygulanan diz protezi, cerrahi teknikler, kullanılan maddeler ve tasarım alanındaki ilerlemeler sayesinde geliştirilerek günümüzde çok daha başarılı bir tedavi yöntemi olmuştur.

Devamını Oku

Devamını Oku
Diz protezinda ameliyat sonrası hasta konforu artırılabilir
Diz ekleminde ameliyatsız tedavi yöntemlerinden fayda görmeyen ve ileri derecede kıkırdak aşınması olan hastalarda total diz protezi uygulaması sık uygulanan ve başarılı bir ameliyattır. Ülkemizde yılda 70.000 civarında diz protezi uygulanmaktadır. Uzun dönemde ağrısız bir diz eklemi sağlayan bu ameliyat, erken ameliyat sonrası dönemde oldukça ağrılı bir ameliyattır.

Devamını Oku

Devamını Oku
Ön çapraz bağ yaralanmaları

Ön çapraz bağ, diz ekleminde femur ve tibia kemiklerini birbirine bağlayan yapılardan birisidir. Dizin normal işlev görmesi için çok önemli olan bu bağ, tibia kemiğinin anormal bir şekilde öne doğru yer değiştirmesini engelleyen en önemli yapıdır. Spor sırasında meydana gelen ve sporcuların 4 haftadan uzun süre spordan uzak kalmasına neden olan yaralanmalar içinde ön çapraz bağ yaralanmaları birinci sırada yer alır.
Devamını Oku
Artroskopik cerrahi nedir
Artroskopi, bir santimetrelik küçük kesiler kullanılarak, eklemlerin içinin kalem boyunda bir kamera ile görüntülenmesidir. Yetmişli yıllarda sadece teşhis amaçlı kullanılırken, günümüzde gelişen teknoloji ve özel aletler sayesinde hem teşhis hem tedavi için kullanılmaktadır. En sık diz eklemi olmak üzere, omuz, ayak bileği, el bileği, dirsek ve kalça eklemini ilgilendiren hastalıkların tedavisinde yaygın kullanım alanı bulmuştur.

Devamını Oku

Devamını Oku
Orta yaştaki menisküs kök yırtıklarında tedavi yaklaşımı değişti

Menisküs yırtıkları, dizin en sık görülen sorunlarından birisidir. Genç hastalarda, bir şiddetli bir dönme hareketi veya darbe sonrası oluşan menisküs yırtıkları ile; ileri yaşta, basit bir çömelme veya halıya takılma sonrası oluşan yırtıkların farklı özellikleri vardır. Genç hastalarda oluşan yırtıklar, sağlam menisküste şiddetli bir zorlanma sonrasında ortaya çıkar ve genellikle cerrahi tedavi gerektirir.
Devamını Oku
Robotik cerrahi ile diz ve kalça protezi uygulamaları

Robotik cerrahi, diz ya da kalça protezi ameliyatının doğruluk ve hassasiyetinin artırılması için bilgisayar ve robotların yardımcı olarak kullanılmasıdır. Ameliyatınızın planlanması, verilerin robota yüklenmesi, ameliyatın gerçekleştirilmesinin bütün aşamaları doktorunuzun kontrolünde yapılır. Robot, ameliyat sırasında planlanan kemik kesilerinin hatasız ve önceden planlandığı şekilde yapılmasını sağlayan bir yardımcıdır, işlemin tamamı doktorunuz tarafından yapılır.
Devamını Oku
Kısmi (unikondiler) diz protezleri

Kısmi (parsiyel, unikondiler) diz protezleri, aşınmış olan diz ekleminin sadece bir kısmının protez ile yüzey kaplanmasının yapıldığı protezlerdir. Metal iki yüzey arasında plastik ara-parçadan oluşurlar. Cerrahın tercihine göre bu plastik ara parça hareketli veya sabit olabilir. Dizin iç ve dış yarısı için farklı tasarımları vardır. Eklemdeki aşınması dizin sadece sınırlı bir bölgesinde olan hastalarda unikondiler protezler tercih edilebilir.
Devamını Oku
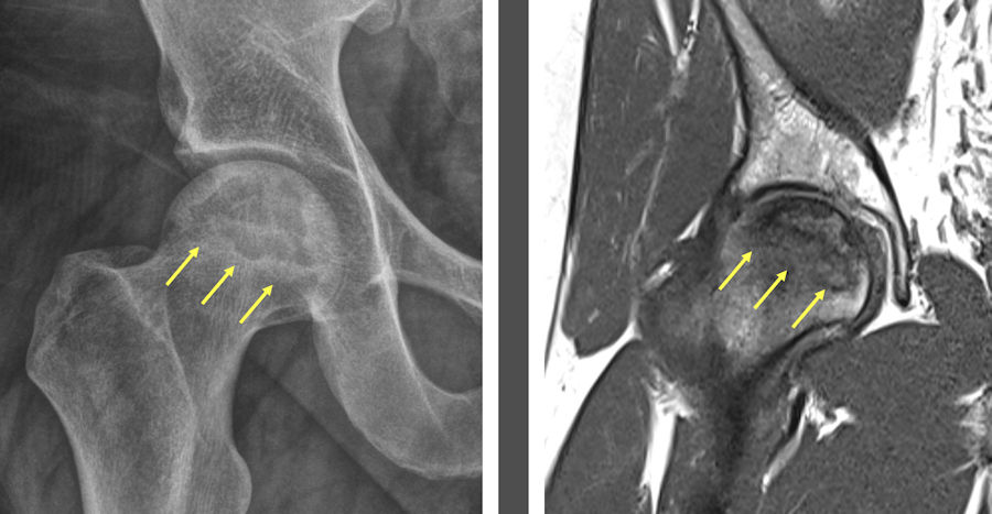
Femur başı avasküler nekrozunda kalça eklemi koruyucu cerrahiler

Femur Başı Avasküler nekrozu, kalça eklemini oluşturan kemiklerden birisi olan femur başının beslenme bozukluğuna bağlı gelişen ve uygun tedavi edilmezse eklemde geri dönüşü olmayan hasara yol açan bir hastalıktır. Femur başına giden damarların yaralanması veya tıkanması ile başlayan olaylar zinciri, çoğunlukla ilerleyicidir ve uygun tedavi edilmezse kalça protezi ile sonuçlanır.
Devamını Oku
PRP Tedavisine Karar Verirken Doktorunuza Sormanız Gereken 7 Temel Soru
Kas iskelet sistemi yaralanmaları ve hastalıklarında yıllardan beri kullanılan PRP (Platelet Rich Plasma), diğer adıyla Trombositten Zengin Plazma (TZP) ürünü ile ilgili bilgiler arttıkça, nasıl hazırlanması gerektiği konusunda da yeni kılavuzlar da ortaya çıkmıştır. PRP’nin hazırlanması için birçok farklı hazırlama düzenekleri (PRP kiti) vardır. Bu kitler birbirlerinden kullanılabilen kanın hacmi, hücreleri konsantre edebilme oranları, canlı hücre yüzdeleri ve içerdikleri beyaz küre (lökosit) ve monosit sayıları açısından farklılıklar gösterirler.

Devamını Oku

Devamını Oku
Tamamı içeride ön çapraz bağ onarımı
Ön Çapraz Bağ yaralanmaları, diz ekleminin spor yaralanmaları içinde en önemli yeri tutar. Bu yaralanmalar ile temel bilgileri web sayfamızın “Hastalar İçin/Ön Çapraz Bağ Yaralanmaları” bölümünde bulabilirsiniz. Bu makalede, ön çapraz bağ yaralanmalarının tedavisinde son yıllarda ortaya çıkan bir teknik olan “tamamı içeride ön çapraz bağ onarımından” bahsedilecektir.

Devamını Oku

Devamını Oku
Kireçlenme nedir
Halk arasında kireçlenme olarak bilinen hastalık ya da tıbbi adı ile “artroz” veya “osteoartrit” eklemlerde meydana gelen aşınma ve yıpranma sonucu ortaya çıkar. Kemiklerimizi birbirine bağlayan eklemlerimizde, karşılıklı kemik yüzeyleri üzerini kaplayan ve ağrısız ve kaygan hareketi sağlayan eklem kıkırdağı bulunur. Yıllar içinde bu parlak ve düzgün yüzeyli doku aşınır, eskir ve yer yer dökülerek altındaki kemik ortaya çıkar. Yaygın inanışın aksine, artrozda eklemlerde kireç birikmesi söz konusu değildir.

Devamını Oku

Devamını Oku
Ağrılı Kemik İliği Ödeminde Yeni Tedavi Seçenekleri

Ağrılı kemik iliği ödemi, orta-ileri yaştaki hastalarda görülen bir sorundur. En sık diz ekleminde görülmekle birlikte, kalça ve ayak bileği eklemlerinde de görülebilir. Sıklıkla hastaların daha önceden var olan eklem kıkırdağı aşınması (osteoartrit) vardır. Bazen bir uzun yürüyüş, bazen alışık olunmayan şiddetli bir aktivite bazen de hiç bir sebep olmaksızın ortaya çıkabilir. Kapalı bir odacık gibi kabul edebileceğimiz kemik iliğinde biriken ödem sıvısı basınç artışına bu da şiddetli ağrıya yol açar.
Devamını Oku
Total kalça protezi nedir

Total kalça protezi, kalça eklemi ileri derecede harap olmuş hastalarda, hasarlı eklemin yapay bir eklemle değiştirilmesi ameliyatıdır. Kalça protez kobalt krom veya titanyumdan imal edilen ana parçalar ile bunların eklemleştiği yerde plastik, metal veya seramik ara parçalardan oluşur.
Devamını Oku
Kök hücrelerin kıkırdak onarımında kullanımı

Kök hücreler, insanlarda bütün dokulardaki damarların çevresinde yerleşmiş ata hücrelerdir. Doku hasarı meydana geldiğinde bu hücreler aktif hale gelirler, bir taraftan dokunun tamiri için gerekli büyüme faktörlerini salgılarken, diğer taraftan iyileşme için gerek duyulan kas, kemik, eklem kıkırdağı ve yağ gibi farklı dokulara dönüşebilirler. Vücudun iyileşme ve tamir cevabının bir parçası olarak görev yaparlar.
Devamını Oku
Kısmi ön çapraz bağ yaralanmalarında, bağ artıkları korunarak onarım

Ön çapraz bağ yaralanmalarının çoğunda bağın tamamı yapıştığı yerden kopar. Bu durumlarda, bağdan arta kalan dokuların faydası yoktur ve bağ cerrahisi sırasında çıkartılıp yeni bir bağ yapılır. Buna karşın, bazı yaralanmalarda ön çapraz bağın bazı lifleri korunmuştur; bağın iki kemik yapışma yeri arasında devamlılığı olan ve kısmen de olsa görev yapabilecek lifler vardır. Bu duruma kısmi ön çapraz bağ yaralanması denir.
Devamını Oku
Diz ekleminde Osteokondritis Dissekans

Eklem yüzüne komşu kemikte meydana gelen damar sorunu nedeniyle sınırlı bir bölgede kemiğin beslenmesinin bozulması ve bu bölgenin daha sonra altındaki sağlam kemik yatağından ayrılarak serbest hale gelmesine osteokondritis dissekans adı verilir. Ayrılan parçanın üzerini örten kıkırdak eklem sıvısından beslendiği için canlıdır, buna karşın altındaki kemikte canlı hücre yoktur.
Devamını Oku








