Prof. Dr. N. Reha Tandoğan - Op. Dr. Asım KayaalpAkut ilk patella çıkığında tedavinin ne olması gerektiği konusundaki tartışmalar devam etmektedir. Yaygın uygulama, ilk çıkık tedavisinde konservatif yapılması yönünde olmasına rağmen, bu her zaman doğru değildir. Yakın zamanda yapılan bir meta-analiz, ilk çıkık sonrasında, büyük osteokondral kırık yoksa, eklem içi serbest cisim yoksa, redüksiyon sonrası patella MRG veya tanjansiyel grafide yerindeyse ve rekürrens için anatomik risk faktörleri yoksa tedavinin konservatif olması gerektiği sonucuna varmıştır. Ancak bu şartları yerine getiren hasta oranı oldukça azdır ve son yıllarda aynen travmatik ilk omuz çıkığındaki gibi tekrarlayan çıkıkların yol açacağı kıkırdak hasarı oluşmadan önce sorunun düzeltilmesi yönünde görüşler ağırlık kazanmıştır.İlk defa olan çıkık sonrası rekürrens riski % 17-71 arasında değişmektedir. İkinci çıkıktan sonra bu risk daha da artar. Üstelik çıkık olmasa bile olguların yarısında patello-femoral ekleme ait yakınmalar devam eder. Tekrarlayan çıkık için bu kadar geniş bir yelpaze içinde oranların bildirilmesinin sebebi, incelenen popülasyonlardaki risk faktörlerinin ve yapısal özelliklerin farklı olmasıdır. Tekrarlayan patellar instabilite için risk faktörleri aşağıdaki gibidir:
- Patella alta
- Troklear displazi
- Eklem hiperlaksitesi
- Medial stabilize edici yapılarda yetersizlik
- Tibial tüberkülün lateralizasyonu
- Genu valgum
Medial Patellofemoral Ligament
Medial patello-femoral ligament (MPFL), femur medial epikondili ile adduktör tuberkül arasındaki çukurluktan başlar ve genişleyen bir bant şeklinde seyrederek patellanın 2/3 proksimal medial kesimine yapışır. Uzunluğu 6 cm civarında olan bu ligamentin eski yıllarda her bireyde olmayabileceği düşünülmekteydi, ancak son yıllarda yapılan anatomik çalışmalarda, ince veya kalın olmakla birlikte her insanda var olduğu kabul edilmektedir. MPFL izometrik bir yapı değildir. 0-30 derece fleksiyon arası en gergin olan bağ, diz fleksiyonu arttıkça gevşer. Ekstansiyondaki dizde patella lateral stabilitesinin %60’ı MPFL tarafından sağlanır. Fleksiyon arttıkça patella troklear oluğa girer ve kemik yapılar stabilitede daha önem kazanır. Amis MPFL’nin kopmadan önce 208 N kuvvete dayanabildiğini göstermiştir. Bu diğer diz bağlarına oranla oldukça düşük bir güçtür, ancak yine de patellanın stabilitesini sağlamaya ve diz ekstansiyondan fleksiyona gelirken patellayı troklear oluğa çekmek için yeterlidir. Akut patella çıkılarının hepsinde MPFL yaralanması mevcuttur. Bu yaralanma, sadece bağın kopması şeklinde olabileceği gibi, bazı olgularda bir osteokondral parçanın patella’dan avülziyonu şeklinde de karşımıza çıkabilir. Son yıllarda gerek akut gerekse tekrarlayan çıkıkların cerrahi tedavisinde MPFL'nin tamiri ya da rekonstrüksiyonu popüler hale gelmiştir.Tedavi Planı Kararı Nasıl Verilir?
Akut patella çıkığı ile başvuran hastada fizik muayene, iki yönlü diz ve tanjansiyel patella grafileri çekildikten sonra bir MRG elde edilmeli ve aşağıdaki faktörler araştırılmalıdır:
- Eklem hiperlaksitesi var mı?
- Patella alta var mı?
- Patella hala sublukse mi?
- Büyük osteokondral parça var mı?
- Troklear displazi var mı?
- Tibial Tüberkül-Troklear Oluk mesafesi 2 cm üzerinde mi?
- MPFL hasarı nerede?
- Fizis hattı açık mı?
Patella medial kenarından veya lateral femoral kondilden kopan büyük osteokondral parçalar var ise, cerrahi tedavi gereklidir. Tespiti mümkün olan büyük parçalar yerine tutturulmalı, çok parçalı kıkırdak kayıpları varsa kıkırdak yenileyici teknikler uygulanmalıdır. Bu cerrahi sırasında patellar dizilim bozukluğunu düzeltecek yumuşak doku veya kemik girişimleri de eklenmelidir. Tedavinin başarısını belirleyen faktörler içinde dizin stabilitesinin sağlanması kadar kıkırdak hasarının derecesinin de önemli olduğu unutulmamalıdır.
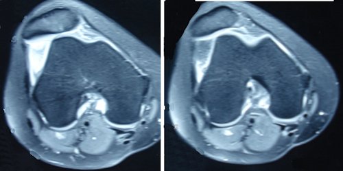
MRG'de transvers kesitler medial patello-femoral ligament hasarının yeri ve patellar dizilimin durumu hakkında önemli bilgiler verir. (Resim 1) Patella hala sublukse ise, troklear displazi ve patella alta varsa, tekrar çıkık olma riski çok yüksektir. Bu hastalarda osteokondral kırık olmasa bile ilk çıkıktan sonra cerrahi tedavi uygulanabilir. MPFL lezyonu patellaya yakın ise artroskopik teknikler uygulanabilir. MPFL lezyonu bağın gövdesinden veya femoral insersiyonundan ise açık teknikler gereklidir.
Q açısının yüksekliği, objektif olarak tibial tüberkül-troklear oluk (TT-TO) mesafesinin ölçümü ile yapılır (Resim 2). Transvers MR kesitlerinde özel yazılımlar kullanılarak yapılan bu ölçümlerde TT-TO mesafesi 2 cm2in üzerindeyse, tek başına proksimal yumuşak doku dizilim cerrahisi yetersiz kalacaktır. Bu durumda proksimal cerrahi girişimlere ek olarak tibial tüberkülün medializasyon osteotomisi yapılmalıdır.
Troklear displazi'nin varlığı transvers MRG veya BT kesitlerinde değerlendirilir. Normalde vadi şeklinde olması gereken troklea, displazi varlığında giderek sığlaşır hatta konveks hale gelir. Bu durumda patellanın kemik stabilitesi kaybolarak instabilite riski artar. Dejour troklear displaziyi A'dan başlayıp şiddeti giderek artarak D'ye kadar 4 gruba ayırmıştır. A-C arası displazilerde genellikle MPFL veya tibial tüberküle yönelik girişimler yeterlidir. Tip D displazide, bu girişimlerle yeterli stabilite sağlanamıyorsa trokleoplasti gibi troklea derinliğini değiştiren girişimler gündeme gelmelidir.
MPFL'nin femoral insersiyonu, ya tam fizis hattı üzerinde ya da hattın 6 mm distalindedir. Bu nedenle fizis hattı açık adolesan hastalarda, MPFL'ye yönelik girişimler sırasında femoral tarafta tünel tekniklerinden kaçınmak gerekir. Bu tip olgularda, addüktor magnus tendonunun addüktör tüberküle yapıştığı bölge, tendon greftlerinin tespiti için kullanılabilir.
Sonuç olarak, akut patella çıkığı sonrasında büyük osteokondral lezyon, devam eden patellar subluksasyon varsa ve anatomik risk faktörleri belirgin ise cerrahi tedavi seçilmelidir. (Resim 3 ve 4).
Cerrahi Strateji
Cerrahi sonrası hemen diz hareketi başlanır. Tibial tüberkül osteotomisi yapılmamışsa 3 hafta, yapıldıysa 6 hafta koltuk değneği ile parsiyel yük verdirilir.
Önerilen Kaynaklar
- Baldwin JL : The anatomy of the medial patello-femoral ligament. Am J Sports Med 2009, 37(12): 2355-61.
- Amis AA, Firer P, Mountney J, Senavongse W, Thomas NP. Anatomy and biomechanics of the medial patellofemoral ligament. Knee. 2003;10:215-220.
- Fithian DC, Paxton EW, Stone ML, Silva P, Davis DK, Elias DA, White LM. Epidemiology and natural history of acute patellar dislocation. Am J Sports Med. 2004;32:1114-21.
- Palmu S, Kallio PE, Donell ST, Helenius I, Nietosvaara Y. Acute patellar dislocation in children and adolescents: a randomized clinical trial. J Bone Joint Surg Am. 2008;90(3):463-70.
- Dejour H, Walch G, Nove-Josserand L, Guier C. Factors of patellar instability: an anatomic radiographic study. Knee Surg Sports Traumatol Arthrosc. 1994;2(1):19-26.
- Balcarek P, Ammon J, Frosch S, Walde TA, Schüttrumpf JP, Ferlemann KG, Lill H,Stürmer KM, Frosch KH. Magnetic resonance imaging characteristics of the medial patellofemoral ligament lesion in acute lateral patellar dislocations considering trochlear dysplasia, patella alta, and tibial tuberosity-trochlear groove distance Arthroscopy. 2010; 26(7):926-35.
- Stefancin JJ, Parker RD. First-time traumatic patellar dislocation: a systematic review. Clin Orthop Relat Res. 2007 Feb;455:93-101.
- Sillanpää PJ, Mattila VM, Mäenpää H, Kiuru M, Visuri T, Pihlajamäki H.Treatment with and without initial stabilizing surgery for primary traumatic patellar dislocation. A prospective randomized study. J Bone Joint Surg Am. 2009; 91(2):263-73.
- Camanho GL, Viegas Ade C, Bitar AC, Demange MK, Hernandez AJ. Conservative versus surgical treatment for repair of the medial patellofemoral ligament in acute dislocations of the patella. Arthroscopy. 2009; 25(6):620-5.
- Sillanpää PJ, Mäenpää HM, Mattila VM, Visuri T, Pihlajamäki H. Arthroscopic surgery for primary traumatic patellar dislocation: a prospective, nonrandomized study comparing patients treated with and without acute arthroscopic stabilization with a median 7-year follow-up. Am J Sports Med. 2008; 36(12):2301-9.
- Christiansen SE, Jakobsen BW, Lund B, Lind M. Isolated repair of the medial patellofemoral ligament in primary dislocation of the patella: a prospective randomized study. Arthroscopy. 2008; 24(8):881-7.
- Smith TO, Walker J, Russell N. Outcomes of medial patellofemoral ligament reconstruction for patellar instability: a systematic review. Knee Surg Sports Traumatol Arthrosc. 2007; 15(11):1301-14.
- Buckens CF, Saris DB. Reconstruction of the medial patellofemoral ligament for treatment of patellofemoral instability: a systematic review. Am J Sports Med. 2010; 38(1):181-8.
- Steiner TM, Torga-Spak R, Teitge RA. Medial patellofemoral ligament reconstruction in patients with lateral patellar instability and trochlear dysplasia. Am. J. Sports Med. 2006; 34; 1254-61.
- Bicos J, Fulkerson JP, Amis A. Current concepts review: the medial patellofemoral ligament. Am J Sports Med. 2007; 35(3):484-92.
- Fithian DC, Powers CM, Khan N. Rehabilitation of the knee after medial patellofemoral ligament reconstruction. Clin Sports Med. 2010; 29(2):283-90.
- Nomura E, Inoue M, Kobayashi S. Long-term follow-up and knee osteoarthritis change after medial patellofemoral ligament reconstruction for recurrent patellar dislocation. Am J Sports Med 2007 35: 1851-8.
Daha ayrıntılı bilgi ve olgu danışmak için hekimlerimize başvurulabilir.
