Prof. Dr. N. Reha Tandoğan - Op. Dr. Asım Kayaalp
Osteokondritis dissekans nedir?
Eklem yüzüne komşu kemikte meydana gelen damar sorunu nedeniyle sınırlı bir bölgede kemiğin beslenmesinin bozulması ve bu bölgenin daha sonra altındaki sağlam kemik yatağından ayrılarak serbest hale gelmesine osteokondritis dissekans adı verilir. Ayrılan parçanın üzerini örten kıkırdak eklem sıvısından beslendiği için canlıdır, buna karşın altındaki kemikte canlı hücre yoktur. Erken evrelerde ana kemiğe bağlantı devam eder ancak iyileşme olmaz veya tedavi edilmezse parça yatağından ayrılıp eklem boşluğunda serbest halde dolaşmaya başlayabilir.Osteokondritis dissekans genellikle ergenlik dönemi öncesinde ortaya çıkar. Erişkinlerde görülenlerin çoğu, çocukluk çağında oluşmuş ancak yeni bulgu vermeye başlamış hastalıklardır. Çok nadiren erişkin yaşlarda yeni osteokondritis dissekans oluşumu görülebilir.
Osteokondritis dissekans hangi eklemlerde görülebilir?
Osteokondritis dissekans en sık diz ve ayak bileğinde görülür. Daha nadir olarak dirsek ve kalçada eklemlerinde ortaya çıkabilir. Erkeklerde kızlara oranla daha sık görülür. %15-30 oranında iki taraflı olabilir, bu hastalarda bulgular ve doğal seyir aynı olmayabilir. Bir taraf sessiz kalırken diğer taraf bulgu verebilir. Benzer şekilde bir taraf iyileşirken diğer taraf ilerleyebilir.Osteokondritis dissekans bulguları nelerdir?
Osteokondritis dissekans’ın en önemli bulgusu ağrıdır. Aktivite ve spor ile artar, dinlenmekle hafifler. Parça yatağından ayrıldıysa eklemde takılma kilitlenme gibi yakınmalara yol açabilir, yüzeyel eklemlere hastanın kendisi eklemde gezen parçayı hissedebilir. Ayrılmış olan parçalarda eklemde şişme ortaya çıkabilir.Osteokondritis dissekans tanısı nasıl konur?
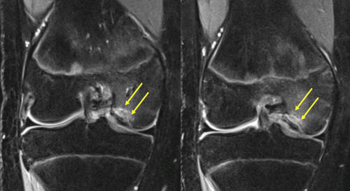
Osteokondritis dissekans tanısı için ortopedi doktorunuzun yapacağı ayrıntılı bir diz muayenesi sonrası röntgen grafileri hastaların çoğunda yeterlidir (Resim 1). Bilgisayarlı tomografi (BT) ve Manyetik Rezonans Görüntüleme (MRG) gibi ileri görüntüleme yöntemleri hastalığın evresinin belirlenmesi, tedavi planının yapılması ve tedavi sonucunun değerlendirilmesi için gereklidir (Resim 2). Artroskopik değerlendirme, evreleme ve tedavi planı için en önemli araçtır. Bir kamera kullanılarak eklem içi incelenir, parçanın boyutları, yerleşimi, altındaki yatağa olan bağlantısı ve vida tespitine uygun olup olmadığı nihai olarak artroskopi sırasında değerlendirilir ve tedavi aşamasına geçilir.
Osteokondritis dissekans ameliyatsız iyileşebilir mi?
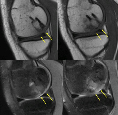
Ergenlik öncesinde saptanan ve altındaki canlı kemik yatağından ayrılmamış olan osteokondritis dissekans, çocukların yarısından fazlasında ameliyatsız iyileşebilir. Bunun için sportif aktivite kısıtlanır ve 6 aylık aralarla MRG takibi yapılır. Üzerindeki kıkırdağın bütünlüğü bozulmamış ve MR’larda ayrılma bulgusu yoksa, ölü kemik vücut tarafından onarılarak 2 yıl içinde iyileşme sağlanabilir (Resim 3). Bu takip için kaliteli bir MR görüntülemesi şarttır. MRG’lerde ayrılma bulgusu saptanan çocuklarda cerrahi tedavi gerekli olur. Her iki dizde osteokondritis varsa, seyirleri aynı olmayabilir. Bir taraf iyileşirken diğer taraf ayrılıp ameliyat gerektirebilir.
Resim 3 a,b: Ergenlik öncesi osteokondritis dissekans saptanan bir hastada ameliyatsız iyileşme. a: İlk başvuru anındaki MR görüntüleri; b: İki yıl sonra kıkırdak ayrılması olmadan iyileşme tamamlanmış.
Çocukların aksine, erişkin yaşta saptanan osteokondritis dissekansların kendiliğinden iyileşme yeteneği yoktur. Bu hastalarda tanı anında cerrahi tedavi gerekli olur.
Osteokondritis dissekans cerrahi tedavisi nasıl yapılır?
Osteokondritis dissekansın cerrahi tedavisi hastalığı evresine, parçanın yerleşimine, boyutuna ve hastanın yaşına göre farklılıklar gösterir. Bütün hastalarda öncesinde eklem artroskopi ile incelenerek yukarıdaki noktalar değerlendirilir.Üzerindeki kıkırdak sağlam olan ve yatağından ayrılmamış olan parçaları canlandırmak için kemiğe çoklu delikler açılır. Bu deliklerden oluşan kan damarları ve yeni kemik yapımı iyileşmeyi sağlar.
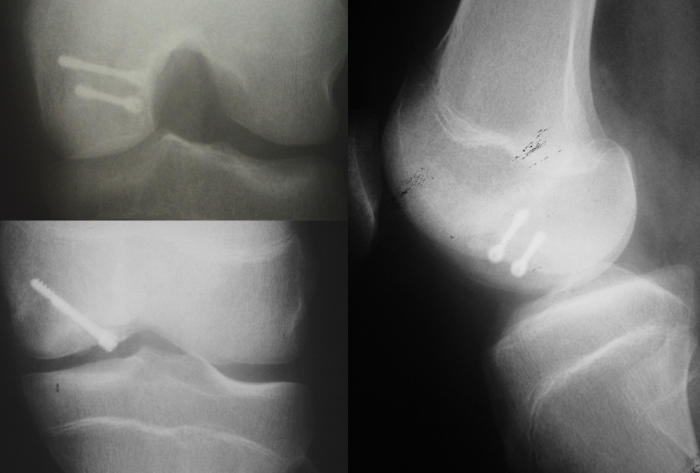
Kıkırdak devamlılığı bozulmuş ve oynar hale gelmiş, ancak hala yatağına yumuşak doku bağlantıları ile tutunan osteokondritis dissekans parçaları vida ile tespit edilebilir (Video 1). Bunun için önce parça kapak gibi kaldırılır, altındaki iyileşmeyi engelleyen yumuşak dokular kazınarak çıkartılır ve canlı kemik yüzeyleri ortaya konur. Gerekirse komşu kemiklerden alınan canlı kemik parçaları (kemik grefti) yatağın içine yerleştirilir. Bu eklenen kemikler hem eklem yüzeyinin uygun şekilde oluşmasına destek olur hem de iyileşmeyi artırıcı etkiye sahiptir. Sonrasında kapak şeklindeki parça yerine yerleştirilip, en az iki vida ile tespit edilir (Resim 4). Bu tespit için metal veya zaman içinde çözünen biyovidalar kullanılabilir. Metal vidaların tespit sağlamlığı daha fazladır, ancak birkaç ay sonra ikinci bir ameliyat ile çıkartılmaları gerekir.
Video 1

Tespite izin vermeyecek kadar ince veya eklem içinde serbest dolaşırken büyümüş ve deforme olmuş parçaların yerine tutturulması mümkün değildir. Bu durumda parça çıkartılır ve yerine kıkırdak ve kemiği onaracak şekilde bir tedavi yapılır. Bunun için en seçkin yöntem “mozaikplasti” adı verilen, eklemin yük taşımayan kesiminden alınan kıkırdak ve kemik silindirlerinin hasarlı bölgeye nakledilmesi ameliyatıdır (Resim 5).

Ameliyat sonrası iyileşme nasıldır?
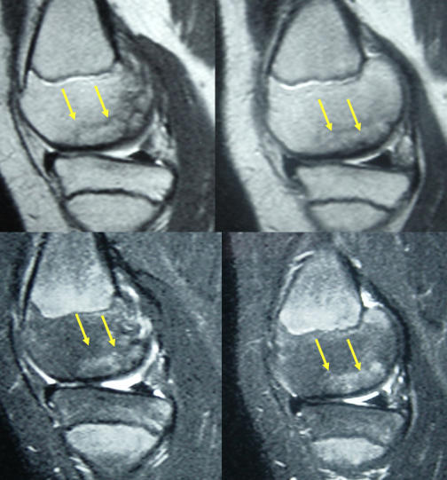
Yapılan ameliyat şekline göre iyileşme süresi farklıdır. Genellikle 6 hafta süreyle bir çift koltuk değneği ile kısmi yük vererek yürüme önerilir. Herhangi bir alçı veya dizliğe gerek yoktur. Hemen diz egzersizlerine başlanır. Nadiren fizik tedavi ihtiyacı olabilir. İyileşmenin ilerlemesi seri röntgen ve MRG’ler ile takip edilir (Resim 6). İyileşme sağlandıktan sonra spora dönüş mümkündür, bu süre 6 aydan önce değildir.
