Prof. Dr. N. Reha Tandoğan - Op. Dr. Asım Kayaalp
Kısmi diz protezi nedir?
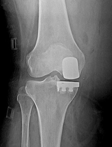
Kısmi (parsiyel, unikondiler) diz protezleri, aşınmış olan diz ekleminin sadece bir kısmının protez ile yüzey kaplanmasının yapıldığı protezlerdir (Resim 1).Resim 1a,b: Total ve unikondiler diz protezi arasındaki fark.
Metal iki yüzey arasında plastik ara-parçadan oluşurlar. Cerrahın tercihine göre bu plastik ara parça hareketli veya sabit olabilir (Resim 2). Dizin iç ve dış yarısı için farklı tasarımları vardır.
Resim 2a,b: Unikondiler protez tipleri
Kısmi (unikondiler) diz protezi kimin için uygundur?
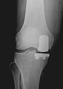
Eklemdeki aşınması dizin sadece sınırlı bir bölgesinde olan hastalarda unikondiler protezler tercih edilebilir. Hasta yaşının 60 ve üzeri olması istenir, ancak son yıllarda 50’li yaşlardaki hastalarda da unikondiler protezler güvenle uygulanmaktadır. Eklemdeki aşınma sadece bir bölgede olmalı, dizin geri kalanındaki eklem kıkırdağı, menisküsler, çapraz bağlar ve yan bağlar sağlam olmalıdır. Dizde şekil bozukluğu varsa (içe ya da dışa doğru eğrilik), bu muayene sırasında düzeltilebilir olmalıdır. Dizinde yaygın kıkırdak aşınması veya romatoid artrit gibi yaygın romatizmal hastalığı olan kişilerde unikondiler protezler uygun değildir. Osteonekroz adı verilen, dizin bir bölgesindeki damarların tıkanması sonucu kemik ölümü ve çökme gelişen hastalarda da unikondiler protezler uygulanabilir (Resim 3). Bu sınırlamalar göz önüne alındığında dizinde artroz (kireçlenme, aşınma) olan hastaların yaklaşık % 15’inde unikondiler protez yapılabilir.Resim 3a,b: Resim 3: Dizinde osteonekroz olan bir hastada unikondiler protez uygulaması.
Kısmi (unikondiler) diz protezlerinin ne avantajları vardır?
Kısmi diz protezinin, tam (total) diz protezi ile karşılaştırıldığında bazı avantajları vardır.- Ameliyat sonrası iyileşme dönemi daha hızlı ve az ağrılıdır. Diz hareket açıklığının kazanılması ve kas gücünün geri gelmesi daha kısa sürede olur. Bunun nedeni işlemin daha küçük kesilerden yapılması ve hasarlı bölge dışında diz çevresi yapılara zarar verilmemesidir. Total diz protezi sonrası hastanede kalış süresi 3 gün, unikondiler protez sonrası genellikle 2 gündür. Çoğu hastada fizik tedaviye gerek olmadan günlük yaşama dönülmesi mümkündür.
- Ameliyat sonrası hastalar dizini daha normal hissederler. Bunun nedeni dizin bağları ve menisküslerinin korunması ve değiştirilen yüzey dışında kıkırdağın sağlam olmasıdır. Bu yapıların içindeki derin duyu sinirleri korunur ve normal işlevlerini yapmaya devam ederler.
- Daha küçük kesilerden ameliyat yapılır, bu da daha küçük bir yara izinin kalması ile sonuçlanır.
- Hem total hem de unikondiler protez sonrası diz ağrısında belirgin bir düzelme meydana gelir. Buna karşın, “unutulmuş diz” adı verilen ve hastanın dizi ile ilgili hiçbir yakınmasının olmadığı durum unikondiler protez sonrası daha yüksek oranda görülür. Ayrıca unikondiler protez yapılan hastaların aktivite seviyeleri, total protez yapılanlara göre biraz daha yüksektir.
Kısmi (unikondiler) diz protezlerinin dayanıklılığı nasıldır?
Unikondiler diz protezlerinin 20 yıl önceki tasarımları, erken aşınma ve gevşeme sorunları ve devam eden ağrı nedeniyle beklenenden daha yüksek başarısızlık oranlarına sahipti. Modern protez tasarımlarının geliştirilmesi, hasta seçim kriterlerinin doğru belirlenmesi, cerrahi tekniklerdeki gelişmeler sayesinde günümüzde unikondiler diz protezlerinin dayanıklılığı total protezlere benzerdir. Modern tasarımlarda unikondiler protezin sağkalımı 10 yılda % 90’ın üzerindedir. On beş ila yirmi yıllık izlemde % 80’ler civarına düşer. Unikondiler protezlerin başarısında tasarım özellikleri yanında cerrahın deneyimi de çok önemlidir. Yapılan çalışmalar, ayda 1 den daha fazla unikondiler protez yapan cerrahların sonuçlarının, daha nadir yapanlara göre daha iyi olduğunu göstermektedir.Unikondiler protez benim için uygun mu?
Unikondiler protezin sizin için uygun olup olmadığına karar vermek için önce ortopedi doktorunuz sizi muayene edecek, röntgen grafilerinizi inceleyecek, gerekirse manyetik rezonans görüntülemeden yararlanacaktır. Bazı durumlarda özel pozisyonlarda röntgen filmleri de gerekli olabilir. Bütün bunları inceledikten sonra, doktorunuz unikondiler protezin sizin için uygun olup olmadığına karar verecektir. Yine de son karar, ameliyat sırasında kesinleşecektir. Çok nadir de olsa, ameliyat sırasında dizin içinde sağlam olduğu düşünülen bölgelerde ameliyat öncesindeki tetkiklerle saptanamayan ileri bir hasar varsa, doktorunuz unikondiler protezden vazgeçip total diz protezi uygulamasına geçebilir.Unikondiler protez sonrası hangi aktiviteleri yapabilirim?
Unikondiler protez sonrası günlük yaşam için gerekli yürüyüş, merdiven inip çıkma ve çömelme gibi bütün darbesiz ve zorlayıcı olmayan aktiviteler yapılabilir. Yüzme, bisiklet, golf, bowling gibi zorlayıcı olmayan sporlar tavsiye edilir. Ani dönme ve sıçramaların olduğu futbol, voleybol, tenis, basketbol gibi sporlar önerilmez. Daha önceden iyi kayakçı olan hastalarda, zorlayıcı olmayan eğimlerde düşük hızlarda kaymaya izin veren cerrahlar da vardır. Darbeli ve zorlayıcı sporları kısıtlamanın amacı protezin erken aşınması ve gevşemesini engellemektir.Unikondiler protezin sorunları var mıdır?
Unikondiler protezin en önemli başarısızlık nedeni, yüzey değişimi yapılmayan kısımlarda hastalığın ilerleyip total diz protezine geçilmesi ihtiyacı duyulmasıdır. Dizin iç tarafına protez yapıldığında dış tarafında, dışa protez yapıldığında iç tarafında kıkırdak hasarı ilerleyip total protez gereksinimi olabilir. Bu oran % 10-15 arasıdır ve ameliyattan sonra geçen süre uzadıkça artar. Bu sorunun çözümü total diz protezi uygulamasıdır ve sonuçları çok iyidir. Başka bir bakış açısıyla bakıldığında, unikondiler diz protezi çok az bir kemik kaybı ile total diz protezini 10-15 yıl geciktirmiş olacaktır.Bunun dışında, hareketli ara parça kullanılan protezlere bu parçanın yerinden ayrılması ve eklem dışına itilmesi; sabit ara parçalı protezlerde ise plastik kısmın erken aşınması gibi sorunlar görülebilir. Bu sorunlar hastaların % 5’inden azında olur ve genellikle cerrahi sırasındaki teknik olumsuzluklara bağlıdır.
Vücuda yerleştirilen bütün implantlarda olduğu gibi, unikondiler protezler sonrası enfeksiyon (iltihaplanma) görülebilir. Total diz protezi için % 1-2 arasındaki bu oran, unikondiler protezlerde %1’in altındadır.
