Prof. Dr. N. Reha Tandoğan - Op. Dr. Asım KayaalpSporcularda ayak bileği dejeneratif artriti, geçirilmiş kırıklara, ligamentöz instabiliteye, tekrarlayan mikro-travmalara ikincil olabilir. Primer osteoartrit daha nadirdir. Tedavi kararını verirken sporcunun yaşı, kilosu, sportif düzeyi, tedaviye uyumluluğu, diğer eklemlerin durumu ve önceki cerrahiler gibi faktörler göz önüne alınmalıdır. Fizik incelemede artrozun şiddeti, arka ayağın dizilimi, ayak bileği hareket açıklığı, kemik ve yumuşak dokuların kalitesi değerlendirilmelidir.
Ayırıcı tanıda futbolcu ayak bileği, fokal kıkırdak hasarı ve talusun osteokondral lezyonları göz önüne alınmalıdır. Özellikle, fokal kıkırdak lezyonları ile erken osteoartritin ayırıcı tanısı her zaman kolay olmayabilir.
Konservatif tedavi
Konservatif tedavi yöntemleri arasında kilo verme, bileklik kullanımı, uygun tabanlıklar, non-steroid anti-inflamatuar ilaçlar ve fizik tedavi yöntemleri kullanılır. Yaygın anekdotal kullanımına rağmen, hyaluronik asit enjeksiyonlarının kullanımı konusunda az sayıda çalışma yayınlanmıştır. Sun ve ark., ayak bileği artrozu olan hastaların 6 aylık izleminde %87 başarılı sonuç rapor etmiş, ve erken OA’li olgularda daha etkin olduğunu bildirmişlerdir (Sun SF : Osteoarthritis Cartilage. 2006, 14:867-74) . Artroskopik debridman sonrası, rezidüel yakınmalar için HA uygulaması, aynı dizde olduğu gibi ayak bileğinde de yapılabilir, ancak etkinliği konusunda bir yayın yoktur.Anterior osteofit eksizyonu
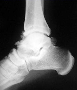
Tekrarlayan fleksiyon ekstansiyon zorlamalarına sekonder olarak, anterior ayak bileği kapsülü tibial insersiyonunda ağrılı traksiyon osteofitleri oluşabilir. Futbolcu ayak bileği olarak da bilinen hastalıkta, bu osteofitler ayak bileği dorsifleksiyonunu engeller ve karşısında talus boynunda ayna hayali osteofitlere da yol açabilir.
Yan grafilerde bazen tam olarak değerlendirilemeyen bu lezyonlar antero-medial oblik grafilerle daha iyi demonstre edilebilir. Bazılarına göre, ayak bileği artrozunun erken evresi kabul edilen bu hastalıkta, osteofitlerin artroskopik olarak eksizyonu ile başarılı sonuçlar elde edilebilir. Tol ve Van Dijk, artroz bulgusu olmayan hastalarda osteofit eksizyonu ile % 77 başarılı sonuç elde etmişler, bu oran artrozlu hastalarda %53’e düşmüştür (J Bone Joint Surg Br. 2001 83:9-13). Lezyonların 2/3’ü yılda kısmen tekrar oluşmasına rağmen, klinik sonuçlarda ciddi bir bozulma söz konusu değildir.
Artroskopik debridman
Ayak bileği artrozunda, artroskopik debridman sırasında yapılan işlemler, diğer eklemlerle benzerdir. Serbest cisimler çıkartılır, sinovektomi ve adezyonların açılması yapılır, yumuşak doku ve kemik sıkışması varsa düzeltilir ve kıkırdak lezyonlarına mikro-kırık veya subkondral perforasyon yapılır. Ayak bileği artrozunda artroskopik debridmanın klinik sonuçları, diğer eklemdekilere benzerdir. Strecker ve ark., 90 hastanın 94 aylık izleminde %57 başarılı sonuç bildirmişlerdir (Unfallchirurg. 2005, 108(6):461-9). Ancak işlem, hastalığın doğal seyrini değiştirmez, elde edilen klinik fayda kalıcı değildir ve ilerlemiş artrozda etkinliği kısıtlıdır. (Jerosch J. Orthopade. 1999; 28(6):538-49 ve Cheng JC &Ferkel RD. Clin Orthop . 1998 ,(349):65-72).Video
Ayak bileğinde mekanik semptomlara yol açan kıkırdak lezyonunun artroskopik debridmanı.Distraksiyon artroplastisi
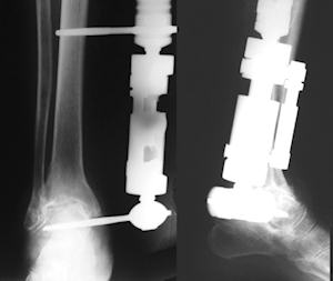
Van Roermund tarafından önce ayak bileği ekleminde tariflenen ve daha sonra diğer eklemlerde de uygulanan bu teknikte, ayak bileği sirküler eksternal fiksatör içinde distrakte edilerek 3 ay süreyle tutulur. Bu süre zarfında fiksatör içinde yüklenmeye izin verilir. Bu yöntemle, klinik düzelmenin yanında radyolojik eklem mesafesinde artış ve subkondral sklerozda azalma olduğu bildirilmiştir. 22 olgunun 7 yıllık izleminde yöntemi tarif eden yazarlar %73 başarılı sonuç rapor etmişlerdir (Ploegmakers JJ: Osteoarthritis Cartilage. 2005, 13:582-8.) Buna karşın hayvan deneylerinde, kıkırdak histolojisi ve proteoglikan içeriğinde bir değişme olmadığı saptanması, yöntemin etki mekanizması hakkında hala bilinmeyen yönlerin olduğunu düşündürmektedir (van Valburg AA, Osteoarthritis Cartilage. 2000, 8:1-8. )Düzeltici osteotomi
Diğer eklemlerde olduğu gibi, ayak bileğinin osteoartritinde de düzeltici osteotomi yapılabilir. Temel olarak osteotomi iki farklı durumda endikedir. İlkinde, varolan deformitenin, OA oluşmadan önce osteotomi ile düzeltilmesi amaçlanır.
İkinci durumda ise, lateral eklem kıkırdağı iyi ise, aşınmış olan medial kıkırdağın yükten kurtarılması amaçlanır. En iyi sonuçlar, medial malleol bölgesinde hafif artrozu olan olgularda bildirilmiştir. Genellikle açık kama supra-malleolar osteotomi yapılır. Tanaka ve ark., serilerinde, 7 yıllık izlemde % 80 olguda başarılı sonuçlar rapor etmişlerdir (Tanaka Y : J Bone Joint Surg Br. 2006 88(7):909-13.)
Otolog kondrosit transplantasyonu ve mozaikplasti
Bu teknikler aslında unipolar, fokal travmatik defektler veya osteokondritis dissekansta endikedir. Ancak, literatürde bazı serilerde, az sayıda fokal osteoartritli olgular da rapor edilmiştir (Baltzer AW, Arthroscopy. 2005, 21(2):159-66). 1,5 cm2’den büyük defektlerde tercih edilir (Giannini S, Foot Ankle Int. 2004, 25(3):168-75). Başarılı sonuçlar bildirilmekle birlikte sıklıkla malleoler osteotomi gerektiği için morbiditesi yüksektir.
Ayak bileği artrodezi
İleri artrozlu bileklerde son çaredir. Açık, mini-açık ya da artroskopik teknikler ile modern serilerde % 80-100 füzyon oranları rapor edilmiştir. (Ferkel RD: Foot Ankle Int 2005, 26(4)275-80 ve Winson IG: Bone Joint Surg Br 2005 87(3):343-7). Artroskopik teknikler, daha düşük morbiditeye yol açmaları, daha hızlı füzyon elde edilmesi nedeniyle avantajlıdırlar.
Ancak, ciddi deformiteleri düzeltmek ve kemik kayıplarını yerine koymakta açık tekniklere göre yetersiz kalırlar. Kısa ve orta dönem izlemlerde ayak bileği artrodezi, ağrının kontrol edilmesi için çok etkilidir. Buna karşın, tibio-talar artrodezin uzun süreli izleminde, yüksek oranda subtalar artroz ve tarsal mobilite kaybı bildirilmiştir(Coester LM, J Bone Joint Surg Am. 2001 ;83-A(2):219-28). Ayak bileği artrodezi sonrası spora dönüş tartışmalıdır. Komşu eklemlerdeki artozun hızlanması, stres kırıkları oluşumu ve artrodezin başarısız olması gibi riskleri nedeniyle, koşma ve sıçrama gerektiren sporlar önerilmez (Vertullo CJ, Nunley JA.Foot Ankle Int. 2002;23(7):625-8.).
Daha ayrıntılı bilgi ve olgu danışmak için hekimlerimize başvurulabilir.
