Prof. Dr. N. Reha Tandoğan - Op. Dr. Asım Kayaalp
Ön Çapraz Bağ Cerrahisi sonrası başarısızlık nedenleri nelerdir?
Ön Çapraz Bağ cerrahisi, tekniğine uygun yapıldığında başarı oranı %90’ların üzerinde olan bir işlemdir. Buna karşın ülkemizde yapılan çapraz bağ cerrahilerinde ilk 2 yıl içinde revizyon yani yeniden cerrahi gereksinimi % 15’lerin üzerindedir. Ön çapraz bağ cerrahisi sonrası başarısızlık nedenleri aşağıdaki gibi sıralanabilir:- İlk cerrahi sırasında yapılan teknik hatalar
- Uygun olmayan rehabilitasyon ile dizde hareket kısıtlılığı veya bağın gevşemesi
- Yeni yaralanmalar ile onarılan bağın tekrar kopması
- İlk cerrahi sırasında tedavi edilmemiş, eşlik eden yan bağ ve/veya arka çapraz bağ yaralanmaları
Bu nedenler arasında en sık görülen sorun ilk cerrahi sırasında yapılan teknik hatalardır (Resim 1). Bunlar arasında tanı sorunları, tünel yerleşimi, tespit materyalleri, eşlik eden menisküs ve kıkırdak yaralanmalarının uygun olmayan tedavisi gibi sorunlar en önemli yeri tutar.

Ön Çapraz Bağ Cerrahisi sonrası hangi durumlarda yeniden cerrahi gerekli olabilir?
Ön çapraz bağ onarımı sonrası yeniden cerrahi gereksinimi en sık dizdeki boşluk hissinin tekrarladığı durumlarda yani “instabilite” için gerekli olur. İlk cerrahi sırasında bağ görevini yapacak şekilde onarılmadıysa veya iyileşen bağ yeni bir darbe sonrası tekrar koptu ise instabilite ortaya çıkar. Günlük yaşamda ön çapraz bağ yetmezliğine bağlı dizde güvensizlik, yerinden çıkıp girme hissi, şişlik ve ağrı ile kendini gösterir.Modern rehabilitasyon yöntemleri ile giderek azalsa da, dizde hareket kısıtlılığı ikinci bir revizyon nedenidir. Sıklıkla ilk cerrahi sırasında uygun olmayan bağ yerleşimine bağlı ortaya çıkar, böyle bir bağa zorlayıcı fizik tedavi yapılsa bile, bağın kopması veya gevşemesi olmadan hareketin kazanılması mümkün olmayabilir. Birden fazla bağ cerrahisi yapıldıysa, (örneğin ön çapraz bağ ile birlikte arka çapraz bağ veya yan bağlara tamir gibi), uygun rehabilitasyon programına rağmen diz hareket genişliğinde sorunlar olabilir, 3-6 arasında yeterli hareket kazanılmadıysa ikinci bir işlemle diz hareketlerinin kazanılması gerekli olabilir.
İlk cerrahi sırasında giderilemeyen veya sonradan ortaya çıkan kıkırdak veya menisküs sorunları için ikinci bir cerrahi işlem gerekli olabilir. Bu hastalarda ön çapraz bağ sağlam ise sadece ek sorunlara yönelik tedavi yapılır ve bağ korunur.
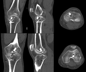
Bağ cerrahisi sırasında kullanılan metal ve biyobozunur (vücut içinde eriyerek kaybolan) implantlar vücutla büyük uyum gösterirler ve çoğu zaman çıkartılmaları gerekmez. Nadir de olsa, zayıf yapılı kişilerde cilt altında rahatsızlık veren veya eklem içi uygun olmayan şekilde yerleştirilen implantların çıkartılması gerekli olabilir (Resim 2). Hastaların %2-3’ünde, biyobozunur implantların erimesi sırasında yol açtığı reaksiyonlar için çıkartılmaları gerekir. Bu durum genellikle ilk cerrahiden 1 yıldan fazla geçen hastalarda ortaya çıkar ve bağ sağlamdır.

Revizyon Ön Çapraz Bağ Cerrahisi hazırlığı nasıl yapılır?
Eğer doktorunuz revizyon cerrahisine karar verdi ise ciddi bir ameliyat öncesi planlama gereklidir. Dikkatli bir muayene ile eşlik edebilecek yan bağ yaralanmaları, menisküs hasarları, kas gücü, önceki yara izleri ve ilk cerrahide kullanılmış olan dokular değerlendirilir. Ardından röntgen grafileri ile eklemin genel durumu, tünel yerleşimleri, kullanılan implantlar ve dizinizdeki kıkırdak aşınmasının miktarı değerlendirilir. Bacaklarınızda bir kemik eğriliği varsa bunun için aks grafisi adı verilen kalça, diz ve ayak bileği eklemini içine alan boy grafileri çekilebilir. İlk cerrahide açılan tünellerde genişleme varsa, bu revizyon sırasında kullanılan dokuların kemiğe tespitini olumsuz etkileyecektir, şüpheli bir durumda tünel genişlemesi bilgisayarlı tomografi ile değerlendirilebilir. Son olarak manyetik rezonans görüntüleme ile dizinizdeki bütün yumuşak doku ve kemik yapılar ayrıntılı olarak incelenir.Bütün bu incelemeler sonrasında doktorunuz revizyon cerrahisinin şeklini, kullanılacak olan doku kaynaklarını, tek veya iki aşamada mı cerrahi yapılacağını, menisküs, kıkırdak ve diğer bağlarınıza bir işlem gerekip gerekmediğini ve kemik dizilimini düzeltecek ameliyatlara ihtiyacınızı belirler. Son olarak yapılan artroskopik inceleme ile eklem içi yapılar değerlendirilir ve yapılacak işlemin devamının nasıl olacağına karar verilir (Resim 3)

Revizyon ön çapraz bağ cerrahisi için birden fazla ameliyat gerekli olabilir mi?
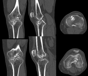
Çoğu durumda tek bir cerrahi işlem ile revizyon ön çapraz bağ cerrahisi yapılabilir, ancak nadir de olsa iki aşamalı revizyon gerekli olabilir. Birden fazla cerrahi gereken durumlar aşağıdaki gibidir;- İlk cerrahi sırasında açılan tünellerde ileri derecede genişleme var ve revizyon sırasında yeni bağın tespiti mümkün değilse iki aşamalı cerrahi yapılabilir. Önce tüneller, vücudun başka bir bölgesinden alınan kemik parçaları ile doldurulur ve iyileşmesi beklenir. Altı ay sonra yeterli kemik oluştuktan sonra revizyon yapılır (Resim 4)
- İlk cerrahiden sonra enfeksiyon (iltihap) geliştiyse önce artroskopik yöntemler ile eklem içi enfeksiyon tedavisi yapılır, bağ artıkları ve kullanılan implantlar çıkartılır. Enfeksiyon tedavisi tamamlandıktan sonra revizyon cerrahisi yapılır.
- Diz hareketlerinde ileri derecede kısıtlılık varsa, önce artroskopik/açık cerrahi ile diz çevresindeki yapışıklıklar açılır, uygun rehabilitasyon ile diz hareketleri tama yakın kazanıldıktan sonra revizyon cerrahisi yapılır.
- Bacakta kemiksel şekil bozukluğu ve eşlik eden yan bağ yetmezliği de varsa iki aşamalı cerrahi gerekli olabilir.
Resim 4: İlk cerrahi sonrası tünel genişlemesi saptanan hastaya ait görüntüler.
Revizyon cerrahisinde hangi dokular kullanılabilir?
Ön çapraz bağ revizyon cerrahisinde kullanılabilecek dokular, ilk cerrahide kullanılmış olan dokular ile yakından ilgilidir. İlk cerrahide kullanılmamış olan dokular, aynı dizden veya karşı dizden alınarak revizyon yapılabilir. Eğer tekrar vücudunuzdan bir doku alınmasını istemiyorsanız, kadavralardan elde edilen ve bütün testleri yapılmış olan “allogreft” adı verilen dokular kullanılabilir (Resim 5). Allogreftlerin avantajı boyut ve sayı sınırlaması olmamasıdır. Buna karşın, kendi dokularınıza göre başarısızlık oranları %5-10 daha fazladır; bütün testleri yapılmış olmasına rağmen çok nadir de olsa (risk 800.000’de bir) hastalık taşınma riski vardır. Doktorunuz ile konuşarak hangi dokunun kullanılacağına karar verebilirsiniz.Resim 5a,b: Revizyon ön çapraz bağ cerrahisi sırasında kullanılan yumuşak doku ve kemik allogreftleri.
Revizyon ÖÇB cerrahisinin sonuçları nasıldır?
Tekniğine uygun yapıldığında, revizyon cerrahisi ile başarılı sonuçlar elde etmek mümkündür, (Resim 6) ancak sonuçlar ilk kez yapılan ön çapraz bağ cerrahisi kadar iyi olmayabilir. Eşlik eden menisküs ve kıkırdak yaralanmalarının varlığı sonuçları olumsuz etkiler. Geçirilmiş enfeksiyon varlığı sonuçları olumsuz etkiler. Buna rağmen çoğu hastada dizdeki boşluk hissi ve emniyetsizliği geçirmek ve diz hareket açıklığını tama yakın kazanmak mümkün olur. Kas gücünün kazanılması için ciddi bir rehabilitasyon programı gerekli olacaktır.
