Prof. Dr. N. Reha Tandoğan - Op. Dr. Asım Kayaalp
Genç yaşlarda spora katılımın artması ve giderek daha rekabetçi hale gelmesi, büyümesi tamamlanmamış çocuk ve ergenlerde ön çapraz bağ yaralamalarının görülme sıklığını artırmıştır. Çocuklarda ön çapraz bağ yaralanmaları kemik yapışma yerinden kopma kırıkları şeklinde olabileceği gibi, bağın gövdesinden olan yırtılmalar şeklinde de karşımıza çıkabilir (Resim 1). Bu yaşlarda yapılacak cerrahi işlemlerin çocuğun büyümesini olumsuz etkileyeceği endişesi ile uzun yıllar bu çocuklarda ameliyatlı tedavilerden kaçınılmış ve spor düzeyinin azaltılması ve fizik tedavi yöntemleri ile büyüme tamamlanana kadar beklenmesi benimsenmiştir. Ancak son yıllarda yapılan çalışmalarda, tekniğine uygun yapıldığında çocuklarda ve ergenlerde yapılacak ön çapraz cerrahilerinin büyüme kusuruna yol açma riskinin çok düşük olduğu saptanmıştır. Üstelik bu çocuklar tedavisiz bırakıldığında ortaya çıkacak olan menisküs ve kıkırdak hasarlarının geri dönüşü yoktur. Bu nedenlerden dolayı günümüzde çocuk ve ergenlerdeki ön çapraz bağ yaralanmalarının tedavisinde cerrahi seçenekler öne çıkmaktadır.

Çocuk ve Ergenlerde Tedavi Edilmemiş Ön Çapraz Bağ Yaralanmalarının Doğal Seyri Nasıldır?
Ön çapraz bağ, dizin sağlamlığında rol oynayan en önemli bağlardan bir tanesidir. Bağın yaralanmış olduğu durumlarda, dizin öne çıkmasını engelleyen başka bir yapı olmadığı için, spor sırasında veya ani dönüşlerde diz yerinden çıkıp tekrar yerine girer. Bu tekrarlayan çıkıklar, dizde ilk yaralanma sırasında olmayan ikincil menisküs ve kıkırdak hasarlarına yol açar. Özellikle spor yapmaya devam eden çocuklarda, ikincil yaralanmaların görülme riski çok yüksektir. Tekrarlayan her yaralanma ile iç ve dış menisküste yeni yırtık olma ihtimali 3-4 kat artar (Anderson AF. Am J Sports Med. 2015 ). Üst düzey rehabilitasyon programları ve kas güçlendirme yapılan çocuklarda bile, ikincil menisküs yırtıkları %34, bağ cerrahisi gerektirme oranları % 60’lardadır (Ekas GR. Am J Sports Med. 2019). Üstelik çocuk ve ergenlerde aktivite kısıtlaması gerçekçi değildir, bu da günlük yaşamda bile dizde yeni yaralanma riskini ortaya çıkarır. Sonuç olarak tedavi edilmemiş ön çapraz bağ yaralanmalarının bu yaş grubundaki sonuçları çok kötüdür, dizdeki boşluk ve emniyetsizlik hissi, üst düzey spor yapmayı engeller, yeni yaralanmalar ile birlikte kaçınılmaz ikincil menisküs ve kıkırdak hasarları ortaya çıkar.
Çocuk ve Ergenlerde Ön Çapraz Bağ Yaralanmalarının Tedavisine Nasıl Karar Verilir?
Çocuk ve ergenlerde tedaviye karar verirken çocuğun yaşı, beklenen büyüme miktarı, kas iskelet sistemi gelişimi gibi özellikler göz önüne alınır. Beklenen büyüme miktarı az olan, iskelet gelişimini tamamlamaya yakın ergenlerde (kızlarda 14.5, erkeklerde 16 yaş), yapılacak cerrahinin büyüme kusuru yaratması riski yoktur, bu hastalarda erişkinlere benzer tekniklerle cerrahi tedavi uygulanabilir. Buna karşın, büyüme kıkırdağı açık olan, başka bir deyişle beklenen büyüme miktarı fazla olan çocuklarda, büyüme kusuru yaratmayacak özel teknikler kullanılması gerekir. “Fizis koruyucu” adı verilen bu tekniklerle yapılacak ön çapraz bağ cerrahilerinden sonra bacakta uzunluk/kısalık veya açısal şekil bozukluğu görülme ihtimali çok düşüktür, çok nadiren ortaya çıkabilecek bu şekil bozuklukları da ergenlik sonrası yapılacak cerrahiler ile düzeltilebilir.
Çocuk ve Ergenlerde Yaralanmış Olan Ön Çapraz Bağ Dikilebilir mi?
Erişkinlerde görülen ön çapraz bağ yaralanmalarında bağ genellikle dikilemeyecek kadar parçalanmıştır, bu nedenle diz çevresi kaslarından alınan kirişler ile yeniden bir bağ yapılır. Çocuk ve ergenlerde ise, bağın yapışma yerinden sıyrılarak ayrılması daha yüksek oranda görülür. Bu hastalar ilk 3 hafta içinde saptandığında, bağın gövdesinin bütünlüğü korunduysa, ön çapraz bağ kopmuş olduğu kemiğe dikişler ile tamir edilebilir. Buna karşın, bağın gövdesi görev yapamayacak şekilde parçalandıysa, erişkinlere benzer şekilde diz çevresi kasların kirişleri kullanılarak yeni bir bağ yapılması gerekir.
Çocuklarda büyüme kıkırdaklarına zarar vermeden ön çapraz bağ cerrahisi yapılabilir mi?
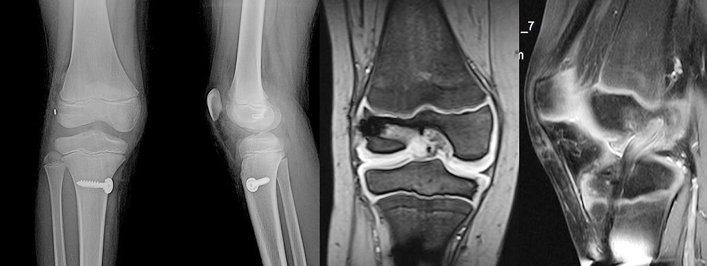
Büyümesi devam eden çocuklarda, fizis koruyucu cerrahi adı verilen teknikler ile büyüme kusuru riskinin en aza indirilmesi mümkündür. Bu tekniklerle yapılan ön çapraz bağ cerrahisinde kullanılan tünellerin yerleşimi, açısı ve tespit yöntemi erişkinlerden farklılıklar gösterir. Eğer bir kiriş dokusu kullanılarak bağ onarımı yapılacaksa, çocuğun kendi dokusunun (otogreft) kullanılması tercih edilir (Resim 2). Ameliyatın her aşamasında, röntgen (skopi) kontrolü ile büyüme kıkırdağına zarar verilmediği doğrulanmalıdır (Resim 3). Başka insandan alınan dokular (allogreft) ile yapılan bağ onarımının başarısızlık riski bu yaş grubunda 4 misli daha fazladır. Birçok hayvan deneyi ve insan çalışmasında, uygun teknikler kullanıldığında müdahale gerektiren büyüme kusuru riskinin %1-2’den daha düşük olduğu gösterilmiştir. Çoğu çocukta, cerrahi sonrası ortaya çıkabilecek büyüme değişiklikleri ya hiç yoktur ya da gözle fark edilmeyecek derecede azdır ve herhangi bir tedavi gerektirmez.


Ön çapraz bağ cerrahisi yapılan çocukların takibi nasıl yapılmalıdır?
Ön çapraz bağ cerrahisi yapılan çocuklar büyüme tamamlanana kadar düzenli aralıklarla kontrol edilmelidir (Resim 4). Yıllık röntgenler ile bacak boyları arasında eşitsizlik veya açısal şekil bozukluğu olup olmadığı takip edilir. Erişkinlerin aksine, çocuklarda cerrahiden bir yıl sonra diz çevresindeki implantların çıkartılması önerilir.
Çocuk ve ergenlerde yapılan ön çapraz bağ onarımlarının sonuçları nasıldır?
Çocuk ve ergenlerde yapılan ön çapraz bağ cerrahileri ile hastaların %90’ından fazlasında başarılı sonuçlar elde edilebilir. Eşlik edebilecek kıkırdak ve menisküs yaralanmalarına da aynı cerrahi sırasında onarım yapılmalıdır. Ameliyat sonrasında 3-4 haftalık bir koltuk değneği kullanımı gerekli olur. Diz rehabilitasyonu ameliyattan hemen sonra başlar. Spora dönüş 9 aydan önce olmamalıdır (Resim 5). Yirmi yaşın altında ve futbol/basketbol gibi darbeli sporlara dönen hastalarda %10-15 tekrar yaralanma riski, % 5 oranında karşı dizde ön çapraz bağ yaralanması riski olduğu akılda tutulmalıdır.
Büyüme kusuru olursa ne yapılabilir?
Çok nadir de olsa, bazı çocuklarda ön çapraz bağ cerrahisinden sonra büyüme kusurları olabilir. 28 farklı merkezin çalışmalarının birleştirildiği bir makalede bu oran %1’in altında olarak bulunmuştur
(Pierce TP. Am J Sports Med. 2017). Bu genellikle ameliyat edilen bacağın diğerinden daha uzun olması ya da bacağın dışarı doğru eğrilmesi şeklinde ortaya çıkar. Büyüme devam ediyorsa, büyüme kıkırdağına uygulanan geçici yavaşlatma işlemleri ile bu şekil bozuklukları düzeltilebilir. Erişkin hayatta kemik düzeltme ameliyatları uygulanması gerekliliği çok çok nadirdir.
Sonuç
Çocuk ve ergenlerde ön çapraz bağ yaralanmalarında cerrahi tedavi ilk seçenek olmalıdır. Çok nadir olan büyüme kusurlarının tedavisi mümkündür ama cerrahi yapılmamış hastalarda ortaya çıkan menisküs ve kıkırdak hasarlarının geriye dönüşü yoktur.
© Prof. Dr. Reha Tandoğan - Op. Dr. Asım Kayaalp