Prof. Dr. N. Reha Tandoğan - Op. Dr. Asım KayaalpHalk arasında kireçlenme olarak bilinen hastalık ya da tıbbi adı ile “artroz” veya “osteoartrit” eklemlerde meydana gelen aşınma ve yıpranma sonucu ortaya çıkar. Kemiklerimizi birbirine bağlayan eklemlerimizde, karşılıklı kemik yüzeyleri üzerini kaplayan ve ağrısız ve kaygan hareketi sağlayan eklem kıkırdağı bulunur. Yıllar içinde bu parlak ve düzgün yüzeyli doku aşınır, eskir ve yer yer dökülerek altındaki kemik ortaya çıkar. Yaygın inanışın aksine, artrozda eklemlerde kireç birikmesi söz konusu değildir.
En çok hangi eklemler tutulur?
Artroz en sık yük taşıyan eklemlerde görülür. En fazla diz eklemi olmak üzere, kalça, el parmakları ve omurga sık olarak tutulur. Buna karşın, özel bir yaralanma olmadığı müddetçe bilek, omuz, dirsek gibi eklemlerin tutulumu nadirdir.Artroz'un belirtileri nelerdir?
Artrozun en önemli bulgusu ağrıdır. Önceleri eklemi kullanmakla artıp dinlenmekle geçen ağrılar, hastalık ilerledikçe kalıcı hala gelebilir. Eklemlerde şişlik, kemik çıkıntılar ve şekil bozuklukları ortaya çıkar. Kemik yüzeylerin birbirine sürtünmesi sonucu kıtırtı şeklinde sesler duyulabilir. Eklemlerin hareket açıklığı azalır ve tutulan eklemde işlev kaybı ortaya çıkar. Hareketin başlangıcında ağrı ve eklem sertliği daha fazladır. Hareket tekrar tekrar yapıldığında sertlikte bir miktar düzelme olur. Bu araba motorunun ısındıktan sonra daha iyi çalışmasına benzetilmiştir. Hastaların yakınmaları soğuk ve nemli havalarda daha da artar.Diz eklemindeki en önemli belirti ağrıdır. Bunun dışında hareket kısıtlılığı, eklem sıvısının artmasına bağlı şişme, eklem çevresi kasların incelmesi ve diz eklemindeki aşınmaya bağlı olarak şekil bozukluğu görülebilir. Zaman içinde diz deforme olarak bacaklar içe doğru eğrilir. Eklem içinde serbest gezen kıkırdak veya kemik parçalarına bağlı olarak dizde takılma ve kilitlenme gibi belirtiler ortaya çıkabilir.
Risk faktörleri nelerdir?
Artroz için en önemli risk faktörü yaştır. 65 yaşın üzerindeki kişilerin üçte birinde röntgen grafileri ile saptanan artroz bulguları vardır. Obezite en önemli faktörlerden birisidir. Yaştan bağımsız olarak obez kişilerde artroz riski erkeklerde 2 misli, kadınlarda 3 misli artar. Bilinmeyen nedenlerden dolayı kadınlarda artroz erkeklere oranla iki misli daha sık görülür. Ailevi birtakım faktörlerin de olduğu düşünülmektedir.Elit düzeyde futbol ve tenis oynayanlar ve uzun mesafe koşucularında da, diz eklemlerinden hiçbir yaralanma veya ameliyat geçirmemiş olsalar bile artroz riski yüksektir. Bunun nedeninin aşırı kullanım olduğu düşünülmektedir.
Bu risk faktörleri dışında eklem kıkırdağına zarar verebilecek bütün hastalık ve yaralanmalar, artroza zemin hazırlayabilir. Eklemi ilgilendiren kırıklar, tedavi edilmemiş menisküs ve bağ yaralanmaları, gut hastalığında eklemde ürik asit birikmesi, mikroplu ve mikropsuz iltahaplar, hemofili hastalığında tekrarlayan eklem içi kanamalar gibi birçok nedene bağlı olarak eklemde artroz meydana gelebilir.
Artrozdan korunmak için ne yapılmalıdır?
Eklemlerde artroz oluşmasını önlemek için en önemli faktör obeziteden kaçınmaktır. Yürüme sırasında vücut ağırlığının 3 ila 6 misli diz eklemine biner, bu nedenle bir kilo fazla bile olsa bu dize 6 kg olarak yansıyacaktır. Aşırı kiloların eklemde oluşturduğu anormal yükler, kıkırdak dokusunda geri dönüşü olmayan hasarlara yol açar ve beklenenden çok daha erken yaşta artroz görülmesine neden olur. Hastalık başladıktan sonra da kilo vermek çok önemlidir, kilo vererek hastalığın ilerlemesi yavaşlatılabilir ve yakınmalar azaltılabilir.Düzenli ve zorlayıcı olmayan egzersizler eklem sağlığı için önemlidir. Haftada 5 kez 20-30 dakikalık düşük yoğunluklu egzersiz, hem genel sağlık hem de eklem sağlığı için faydalıdır. Yüzme, yürüyüş, bisiklet, golf gibi sporlar ileri yaşlarda bile yapılabilir.
Eklem yaralanmaları uygun şekilde tedavi edilmelidir. Eklemi ilgilendiren kırıklar doğru tedavi edilmeli, menisküs ve çapraz bağ yaralanmaları zaman geçirmeden düzeltilmelidir. Yaptığımız ve yurt dışında yayımlanan bir çalışmada, tedavi edilmemiş ön çapraz bağ yırtıklarından 10 yıl sonra eklemde artroz riskinin çok yüksek oranda arttığını saptadık.
Osteoporozu (Kemik erimesi) engellemek için uygun Kalsiyum desteği ve gerektiğinde hormon kullanımı önemlidir. Osteoporoza bağlı gelişen kemiklerin şekil bozuklukları, (örneğin bacak eğrilikleri), eklemin bir bölgesine aşırı yük bindirip erken aşınmalara yol açabilir.
Belirli meslekler ve sporlarda, tekrarlayıcı zorlayıcı hareketler ve uygun olmayan pozisyonlarda uzun süre kalmak, eklem sağlığını olumsuz etkiler. Uzun süreli çömelme pozisyonunda çalışan ve ağır kaldıran madencilerde diz ekleminde, haltercilerde bel ve köprücük kemiğinin uç ekleminde, kırıcı delici kullanan işçilerin omuz ekleminde aşınmalar görülebilir.
Tanı nasıl konulur?
Artrozun tanısı oldukça kolaydır. Doktorunuz size bazı sorular sorduktan sonra muayene eder. Bu sırada, geçirilmiş olan kaza, yaralanma ve ameliyatlarınızı mutlaka doktorunuza bildirmeniz gerekir. Çoğu zaman basit bir röntgen grafisi ile tanı konabilir. Erken artroz durumlarında röntgen grafileri normal olabilir, bu durumda MRG (manyetik rezonans görüntüleme) yararlı olabilir. Artrozda genellikle kan testleri normaldir, ancak başka hastalıkları ayırd edilmesi için kan testleri gerekli olabilir.
Artrozun seyri nasıldır?
Artrozun yarattığı hasarı geri döndürüp eklemi normal haline getirecek bir tedavi yöntemi günümüzde yoktur. Hastalık yıllar içinde ilerler, birden fazla eklem tutulabilir. Belirtilerin şiddeti dalgalanmalar gösterir, aktivite ile artışlar olup, dinlenme ve ilaçlarla sessiz dönemler olabilir.Hastalar ne yapmalıdır?
Artrozlu hastaların tedavisinde hekimler kadar hastaların da önemli katkıları olmalıdır. Bunun için hastaların yapması gerekenler aşağıda sıralanmıştır.- Yaşam stili değişimleri : artrozlu eklemi aşırı zorlamak yakınmaları artıracaktır. Bu nedenle, koşma, sıçrama, darbe gerektiren sporlar bırakılıp, yüzme, bisiklet, yürüyüş golf gibi sporlar tercih edilmelidir. Çömelme, merdiven inip çıkma gibi aktiviteler azaltılmalı ve 2 kg’ın üzerinde yük taşımaktan kaçınılmalıdır.
- Obezite hastalığın ilerleme hızını etkileyen en önemli faktördür. Şişman kişilerde kilo verme ile hem hastalığın belirtileri hafifler hem de ilerlemesi yavaşlar.
- Uygun egzersiz: Hasarlı eklemi aşırı zorlamaktan kaçınarak yapılacak uygun egzersizler kasları güçlendirmek ve eklem hareket açıklığını korumak açısından faydalıdır. Özellikle omurgayı ilgilendiren artrozlarda egzersizin önemli rolü vardır.
- Baston kullanımı, yük taşıyan eklemlerin artrozunda, hasarlı ekleme binen yükü azalttığı için faydalıdır. Yumuşak tabanlıklar ve uygun ayakkabı seçimi faydalı olabilir. Basit dizlik ve bileklik gibi yardımcı cihazlar hasta konforunu artırır.
Tıbbi tedavi
Hastalığın erken dönemlerinde tıbbi tedavi ile hastalığı belirtileri kontrol altında tutulabilir. Ağrı kesici ve anti-inflamatuar adı verilen ilaçlar ile hastaların yaşam kaliteleri artırılabilir. Bu ilaçların uzun süreli kullanımında mide ve böbrek yan etkileri açısından dikkatli olunmalıdır.Eklem içi hyalüronik asit adı verilen maddenin enjeksiyonu, hastanın şikayetlerinde 6 ay-1 yıl süreyle rahatlama sağlayabilir. Viskosuplemantasyon adı verilen bu tedavi, eklem kayganlığını artırıp hareketi sağlarken ağrıları da azaltabilir. Çok düşük orandaki bir alerjik reaksiyon dışında ciddi bir yan etkileri yoktur.
Glukozamin ve Kondoitin sülfat adı verilen maddeler, eklem kıkırdağının yapı taşlarıdır. Henüz ilaç olarak kabul edilemeyen bu maddeler besin desteği olarak satılmaktadır. Çeşitli çalışmalarda birbiri ile çelişen sonuçlar elde edilmişse de, genel kabul edilen görüş, uzun süreli kullanımda bu maddelerin şikayetleri baskılamada etkili olduğu yönündedir. Etkilerinin başlaması 2 ayı bulabilir, kan sulandırıcı ilaçlar ile birlikte kullanımında dikkatli olunmalıdır.
Eklem içi kortizon enjeksiyonu çok şiş, ağrılı dizlerde alevlenmeyi azaltabilir. Tekrarlayan enjeksiyonlarda uzun dönemde eklemdeki aşınmayı hızlandırabilir.
Fizik tedavi yöntemleri ile kısa süreli de olsa rahatlama sağlanabilir, ancak bu tedavi hastalığın doğal seyrini değiştirmez.
Cerrahi tedavi
Tıbbi tedavi yöntemleri fayda etmez ya da zaman içinde etkisiz hale gelirse cerrahi tedavi gündeme gelir. Cerrahi tedavi seçenekleri aşağıda sıralanmıştır;Artroskopik Temizleme
Hastalığın erken dönemlerinde kullanılır. Kapalı ameliyat yöntemi ve küçük kesilerden bir kamera yardımı ile eklem içine girilip, yıkama, saçaklanmış kıkırdakların temizlenmesi, serbest cisimlerin çıkartılması ve menisküs yırtıklarının düzeltilmesi gibi işlemler yapılır. Hastaların şikayetlerinde 6 ay ila 5 yıl arasında süren bir rahatlama sağlar. Hastalığın doğal seyrini değiştirmez, ileri derecede hasarlı eklemlerde faydasızdır.Kemik Düzeltici Ameliyatlar
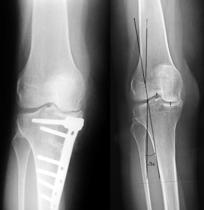
Hastalık orta derecede ilerlemişse yük taşıyan eklemlerde yapılır. Amaç, eklemin aşınmış bölgesine binen aşırı yükü ortadan kaldırıp, yükü sağlam tarafa aktarmaktır. Bunun için kemik kesilerek düzeltilir ve uygun açıya getirilerek tespit edilir. Tespit için genellikle metal-plak vidalar kullanılır. Protez yapılmasının uygun olmadığı genç hastalarda zaman kazanmak için tercih edilir, 5-7 yıllık bir rahatlama sağlar.
Eklemlerin Dondurulması (Artrodez)
Hareket kaybının çok önemli olmadığı bazı eklemlerde (örneğin ayak bileği, omurga ve elin küçük eklemleri) uygulanır. Aşınmış olan eklem yüzleri çıkartılarak iki kemiğin birbirine kaynaması sağlanır. Ağrı tamamen geçer ancak ilgili eklemde hareket olmaz. Hareketin önemli olduğu kalça diz dirsek omuz gibi eklemlerde uygulanmaz.Eklem Protezleri
Aşınmış olan eklem yüzlerinin metal-plastik veya seramik maddeler ile kaplanarak yeni bir eklem oluşturulmasıdır. En sık diz, kalça ve omuz eklemlerinde uygulanır. Artrozun günümüzde bilinen en etkili tedavisidir. Protez ameliyatından 2-3 ay sonra ağrılar tamamen kaybolur ve kişi desteksiz olarak günlük yaşam aktivitelerine geri döner. Protezlerin günümüz teknolojisi ile ömürleri 15-20 yıl arasındadır, daha sonrasında aşınma ve gevşeme sorunları nedeniyle değiştirilmeleri gerekir. Bu nedenle ideal hasta grubu 65 yaş üzerindedir, ancak gerektiği durumlarda çok daha erken yaşlarda protez yapılabilir. Protez sonrasında sıçramalı koşmalı sporlar ve zorlayıcı aktivitelerin yapılması uygun değildir.Protezler hakkında daha ayrıntılı bilgi için bu sitedeki total diz artroplastisi ve kalça artroplastisi bölümlerine başvurabilirsiniz.
