Prof. Dr. N. Reha Tandoğan - Op. Dr. Asım Kayaalp
İnstabilite niye önemli?
Total diz artroplastisinde erken dönemdeki başarısızlık nedenlerinden birisi de tibio-femoral instabilitedir. Fehring ve ark., ilk 5 yılda yapılan revizyonlarda başarısızlık nedenlerini aşağıdaki gibi bulmuşlardır.- Enfeksiyon (%38)
- İnstabilite (%27)
- Çimentosuz tespit sorunları (%13)
- Ekstansör mekanizma (%8)
- Osteoliz (%7)
- Aseptik gevşeme (%3)
Benzer bir şekilde Sharkey ve Hozack’ta ilk 2 yıldaki revizyonlarda polietilen aşınması ve gevşemeden sonra üçüncü neden olarak instabiliteyi göstermişlerdir. (Sharkey PF, Hozack WJ: Clin Orthop 2002, 407:7). İnstabilite, tibio-femoral eklemde olabileceği gibi patellar instabilite şeklinde de karşımıza çıkabilir. Bu yazının konusu sadece tibio-femoral instabiliteyi ilgilendirmektedir.
İnstabilite nedenleri
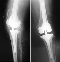
Total diz artroplastisi sonrasında tibio-femoral instabilite, iki ana başlık altında incelenebilir. Birinde artroplasti ile tekniği ile ilgili önemli bir sorun yoktur. Nadir bazı nöro-musküler hastalıkalar, polio (Giori NJ: J Bone Joint Surg 2002 84-A: 1157-61); multiple sclerosis (Rao V: J Bone Joint Surg 2003 85-A: 731-2) gibi kas gücünü ilgilendiren durumlarda instabilite ortaya çıkabilir. Buna karşın daha sık görülen oluş şekli, protezin teknik sorunları ile ilgilidir. Hareketli ara parçaların dislokasyonu (Ridgeway S: J Arthroplasty 2004, 19:686-93); Yumuşak dokuların zaman içinde esneyip uzaması; İlk ameliyatta kapsülo-ligamentöz dengenin sağlanamaması; Aşırı ya da yetersiz gevşetme ve Fleksiyon ve ekstansiyon aralığının eşit olmaması en sık görülen nedenlerdir. İnstabilite bazen bir travma sonrası ortaya çıkabilir. Bu sırada dizin stabilitesini sağlayan yapılarda ani ve şiddetli bir rüptür ortaya çıkar. Daha önceden zayıflamış veya gevşetilmiş olan bir bağın (ör. AÇB) atravmatik rüptürü de karşımıza çıkabilir. Son olarak, asimetrik polietilen aşınmasına bağlı göreceli laksite de oluşabilir (Resim 1 )(Krackow K: J Arthroplasty 2003, 18 (Suppl1): 45).İnstabilite tipleri
Tibio femoral instabilitenin tanımlanmasında yaygın kabul görmüş bir sınıflama sistemi yoktur. Kelly, tibio-femoral instabiliteyi Ekstansiyonda ve fleksiyonda olarak iki ana başlığa ayırmış ve bunları da kendi aralarında simetrik ve asimetrik olarak tiplendirmiştir. (Kelly MA: AAOS ICL 2001, 50:399-401). Krackow ise, instabiliteyi yönüne göre sınıflandırmış ve- Varus-valgus
- Antero-posterior translasyon
- Medio-lateral translasyon olarak 3 tipe ayırmıştır.
Son olarak Brooks, 4 tip instabilite tanımlamıştır. Buna göre:
- Tip 1: Asimetrik varus-valgus instabilitesi, bağlar intakt, sorun yetersiz gevşetme
- Tip II: Kollateraller veya PCL non-fonksiyonel, son nokta yok
- Tip III: Gevşek fleksiyon aralığı
- Tip IV : Kombine instabilite
Değerlendirme
Tibio-femoral instabilite tanısında önce dizde boşluk hissi yapabilecek diğer sorunların ekarte edilmesi gerekir. Bunlar:- Patellar instabilite
- Patellar clunk sendromu
- Ağrıya bağlı refleks quadriceps inhibisyonu
- Kalçadan yansıyan ağrıdır.
Varus-valgus düzleminde instabilite
Sık görülen bir sorun varus-valgus düzleminde görülen instabilitedir. Sık olarak görülen varus dizlerde “Ne kadar laksite kabul edilebilir ?” sorusunun cevabı Ishii ve ark tarafından cevaplanmıştır. Varus-valgus yönünde 4mm’ye kadar olan açılmalarda sorun yaşanmadığı ancak daha fazla laksite olduğunda instabilite belirtilerinin ortaya çıktığı gösterilmiştir (Ishii Y:J Orthop Sci 2003; 8(4):538-42). Sanılanın aksine, gevşek olan dizlerde hareket açıklığı daha iyi değildir (Yamakado K: Arch Orthop Trauma Surg 2003, 123:1-4).Medio-lateral instabilite, primer artroplasti sonrası nadir olarak görülür. Aşırı gevşetme veya travma en önemli sebeptir. Valgus dizlerde lateral gevşetme sonrası derin fleksiyonda instabilite ortaya çıkabilir. Varus dizlerde, dizilim düzeltilmez ve ince insert kullanılırsa, medial taraftaki plastik aşınarak kırılacak ve instabilite oluşacaktır. Tedavi seçenekleri arasında, sadece insert değişimi, kollateral ligament rekonstrüksiyonu ve revizyon protezi sayılabilir.
Sadece insert değişimi
İmplantlar iyi fikse, dizilim normal, kollateraller sağlam ancak dengesiz ise gergin tarafa gevşetme sonrası daha kalın insert ile instabilite giderilebilir. Bu sırada ortaya çıkabilecek fleksiyon kontraktürü için posterior femoral tarafta kapsüler gevşetme gerekli olabilir. Revizyon sırasında deneme insertleri ile dizin stabilitesi sağlanabiliyorsa sonuç genellikle başarılıdır (Brooks D: Clin Orthop 2002, 405:182-8). Ancak, kollateral bağlarda son nokta yoksa sadece insert değişimi başarısızlıkla sonuçlanır. Bu konudaki en geniş serilerden birinde Babisi 27 olgunun 3 yıllık izleminde % 44 başarısızlık bildirmiştir (Babis GC: J Bone Joint Surg 2002, 84-A: 64-8)Kollateral ligament rekonstrüksiyonu
Kollaterallerde stres testi sırasında son nokta yoksa, komponentler iyi fikse ve dizilim normalse bağ rekonstrüksiyonu denenebilir. Medialde semitendinosus, lateralde ITB kullanılarak rekonstrüksiyon teknikleri bildirilmiştir. Bu konuda çok sayıda hastayı içeren seriler yoktur ve yayınlar daha çok olgu sunumu şeklindedir. Bu teknikler fleksiyonda görülen instabilitelerde daha başarılıdır (Krackow K: J Arthroplasty 2003, 18 (Suppl1): 45-7).Video
Semitendinosus gracilis grefti ile iç yan bağ rekonstrüksiyonu yapılmış bir revizyon artroplastisi.Revizyon protezi
Kollateral rekonstrüksiyonu için yukarıda sayılan ön şartlar sağlanmıyorsa seçkin tedavi revizyon diz protezidir. Revizyon sırasında varus-valgus düzleminde yumuşak doku dengesi sağlanır, fleksiyon ve ekstansiyon aralığı eşitlenir ve sıklıkla posterior stabilize veya varus-valgus kısıtlı bir implant kullanılır. Sıklıkla stem extension gerekli olur. Buna rağmen stabilite sağlanamazsa menteşe tipi protezler kurtarıcı cerrahi olarak gündeme gelir.Flekisyon ekstansiyon aralığı dengesizliğine bağlı instabilite
Posterior femoral kesi ile tibial kesi arasındaki boşluğa fleksiyon aralığı; Distal femoral kesi ile tibial kesi arasındaki boşluğa ise ekstansiyon aralığı adı verilir. Özellikle hareketli ara parçası olan protezlerde bu iki aralığın eşit olması çok önemlidir. Sabit ara parçalı protezlerde birkaç mm fark tolere edilebilir. Fleksiyon ve ekstansiyon aralıkları eşit değil ise instabilite ve/veya hareket kısıtlılığı ortaya çıkar.
Gevşek fleksiyon aralığı
Gevşek fleksiyon aralığının sebebi, ilk cerrahi sırasında anterior referanslı kesi kılavuzları kullanarak küçük femoral komponent yerleştirilmesi, fleksiyon kontraktürünü düzeltmek için ince polietilen kullanımı, valgus dizlerde aşırı lateral gevşetme veya femoral komponent malrotasyonuna bağlı olarak ortaya çıkabilir.Anterior referanslı sistemlerde femoral kesi, boy ölçüldükten sonra anterior femoral korteks sıfırlanacak şekilde kesi yapılır. Protez boyu ölçümü hasta femuru ile uyumlu ise sorun yoktur. Ancak özellikle kadınlarda femurun antero-posterior çapı medio-lateral çapından fazla olduğu için, protezin kenarlardan taşmasını önlemek için bir boy küçük boy protez seçilebilir. Bu durumda fleksiyon aralığı geniş kalacaktır. PS tasarımlarda bile, fleksiyon aralığı gevşek ise, femoral komponent post’un üzerinden atlayıp posteriora disloke olabilir. Bu nedenle primer cerrahide fleksiyon ve ekstansiyon aralıklarının eşitlenmesi çok önemlidir.
CR tasarımlarda yeterli tibial slope verilmeli, ve arka çapraz bağ gevşetmelerine dikkat edilmelidir. PS tasarımlarda ise posterior tibial slope minimal olmalı, küçük femoral komponent kullanmaktan kaçınmalı ve popliteus tendonu korunmalıdır (Callaghan JJ: J Arthroplasty 2004, 19(4, Suppl 1):31-4).
Gevşek fleksiyon aralığının tedavisi revizyon diz protezidir. Yumuşak doku dengesinin sağlandığı, fleksiyon-ekstansiyon aralığının eşitlendiği, arka çapraz bağı kesen implantlar ile revizyon yapılmalı, hala stabilite sağlanamıyor ise menteşe tipi protezler ile revizyon yapılmalıdır (McAuley JP:J Arthroplasty 2003 18(3 Suppl 1):51-4 ).
Revizyon sırasında kemik stoğu iyi, eklem çizgisi kabul edilebilir, ilk insert ince (nadir) ise, primer implantlar ile revizyon yapılabilir. Bu sırada distal femoral rezeksiyon yapılarak daha kalın insert yerleştirilir ve PS tasarımlı bir protez kullanılır. Daha sık olarak ise primer implantlarla revizyon mümkün değildir. Bu durumda, daha büyük femoral komponent off-set stem ile posteriora alınarak yerleştirilir. Posterior femoral augment kullanılır. Bu sırada patello-femoral kompartmanın aşırı doldurulmamasına özen gösterilmelidir.
Gevşek ekstansiyon aralığı (nadir)
Gevşek ekstansiyon aralığına bağlı instabilite nadirdir. Genu recurvatum ve hiperekstansiyon deformitesi mevcuttur ve posterior kapsül lakstır. Distal femoral augmentasyonla revizyon protezi gerekli olur.Video
Total diz artroplastisi sonrası gevşek ekstansiyon aralığına bağlı hiperekstansiyon deformitesi.Antero-posterior düzlemde instabilite
Antero-posterior düzlemde instabilite, AÇB gevşetme yapılan olgularda (Straw R: J Bone Joint Surg 2003, 85-B:671-4), AÇB’ın korunduğu ancak daha sonra yetmezlik gelişen olgularda (Pagnano MW: Clin Orthop 1998,(356):39-46 ) ya da fleksiyon aralığının gevşek kaldığı olgularda görülebilir (Clarke HD, Scuderi GR:J Knee Surg 2003 16:123-8.)Video
Total diz artroplastisi sonrası antero-posterior düzlemde instabilite.
Menteşe tipi protezler
İkinci jenerasyon rotasyonlu menteşe tipi protezlerde erken gevşeme sorunları bir miktar da olsa azaltıldı. Günümüzde çimentosuz modüler, diyafizi dolduran stemlerin kullanımı, daha iyi menteşe yapısı ve daha iyi patello-femoral eklem tasarımı sayesinde daha iyi klinik sonuçlar bildirilmektedir.
Barrack, 22 dizin, 55 aylık izleminde hiç gevşeme ve patello-femoral sorunla karşılaşmadığını bildirmiştir (Barrack RL:Clin Orthop 2001, 392:292). Springer ise 26 dizin, 58 ay izleminde, 5 enfeksiyon, 2 gevşeme rapor etmiştir (Springer BD: Clin Orthop 2004, 421:181-7). Buna rağmen, menteşe tipi diz protezlerinin uzun dönem sağkalım oranları, kısıtlı olmayan protezlere göre daha kısa olduğu için yaşlı ve sedenter hastalarda tercih edilmelidir.
Daha ayrıntılı bilgi ve olgu danışmak için hekimlerimize başvurulabilir.
