Prof. Dr. N. Reha Tandoğan - Op. Dr. Asım KayaalpMenisküs yırtıkları, dizin en sık görülen sorunlarından birisidir. Genç hastalarda, bir şiddetli bir dönme hareketi veya darbe sonrası oluşan menisküs yırtıkları ile; ileri yaşta, basit bir çömelme veya halıya takılma sonrası oluşan yırtıkların farklı özellikleri vardır. Genç hastalarda oluşan yırtıklar, sağlam menisküste şiddetli bir zorlanma sonrasında ortaya çıkar ve genellikle cerrahi tedavi gerektirir. Buna karşın ileri yaşta ortaya çıkan yırtıklar, sıklıkla menisküsün zaman içinde yıpranmasına bağlı olarak gelişir ve dizdeki genel eskime ve artrozun (kireçlenme, kıkırdak aşınması) bir parçasıdır; tedavide ilk seçenek cerrahi değildir. Son zamanlarda tanımlanan kök yırtıkları ise ileri yaşta görülen diğer yırtıklardan farklıdır ve güncel tedavisinde cerrahi tedavinin önemi artmaktadır.
Menisküs kök yırtığı ne demektir?
Menisküs yırtıklarının büyük bölümü, menisküs gövdesini ilgilendiren yırtıklardır. Kök yırtıkları ise menisküsün kemiğe yapıştığı bölgeden ayrılmasıdır ve sıklıkla arka yapışma yerinde gözlenir (Resim 1). Bu yırtıklarda menisküs gövdesinin sağlam olması nedeniyle manyetik rezonans görüntüleme (MRG) sırasında uygun kesitler alınmazsa yırtık yokmuş gibi görülebilir. Bu yırtık tipi ilk kez 2008 yılında tarafımızdan tanımlanmış, Ozkoc G, Circi E, Gonc U, Irgit K, Pourbagher A, Tandogan RN. Radial tears in the root of the posterior horn of the medial meniscus. Knee Surg Sports Traumatol Arthrosc. 2008 Sep;16(9):849-54.) ve sonrasında üzerinde birçok çalışma yapılmıştır. Kök yırtığı gelişen bir menisküs, biyomekanik olarak bütün yük taşıma işlevini kaybeder. Eğer uygun tedavi yapılmaz ise diz eklemde hızlı bir aşınma ve kıkırdak kaybı gelişir ve birkaç yıl içinde eklem protezi uygulamasına ihtiyaç olur.
Menisküs kök yırtığı kimlerde görülür?
Menisküs kök yırtıkları iki ana grup hastada ortaya çıkar. Dış (lateral) menisküs arka ucundaki kök yırtıkları genç hastalarda görülür ve sıklıkla bir ön çapraz bağ yaralanmasına eşlik eder. Cerrahi onarım şarttır. Burada bahsedeceğimiz iç (medial) menisküs arka kök yırtıkları ise orta yaş ve üzeri, hafif kilolu hastalarda, basit bir zorlanma sonrası ortaya çıkar. Diz ekleminde erken dönemde bir artroz (kıkırdak aşınması, kireçlenme) olaya eşlik eder. Hastalar tipik olarak daha öncesinde dizden hafif yakınmalarının olduğunu, sonra bir gün sandalyeden kalkarken veya yere çömelirken şiddetli bir ağrı ve kopma hissi ile birlikte yakınmalarının aniden fazlalaştığını anlatırlar.Menisküs kök yırtığının bulguları nelerdir?
Yukarıda anlatılan şekilde ortaya çıkan yırtık sonrası hastalar dizlerindeki ağrının belirgin olarak arttığını ve özellikle yürüme, merdiven çıkma ve çömelme sırasında ağrının fazlalaştığından bahsederler. Dizin arka tarafında künt bir ağrı görülmesi sıktır. Diz ekleminde şişlik olabilir, dizi tam bükme ile ağrı artar. Takılma, kilitlenme gibi yakınmalar sık değildir. Olaya kemik iliği ödemi de eşlik ediyorsa, ağrı süreklidir ve istirahatte bile vardır.Menisküs kök yırtıklarına nasıl tanı konulur?
Kök yırtığının tanısı dikkatli bir hastalık hikayesi alınması ve muayene ile başlar. Doktorunuz, muayene sırasında menisküs yırtığı yanında, tedaviyi etkileyebilecek bacak şekil bozuklukları, diz bağlarının durumu ve dizde aşınma miktarının saptanmasına yönelik incelemeler yapar. Röntgen grafileri ile bacağın dizilimi ve dizdeki artroz miktarı değerlendirilir. Doktorunuz, kalça diz ve ayak bileğini içeren ve aks grafisi adı verilen özel röntgen grafileri ile bacak dizilimi ve yük aksının nereden geçtiğini değerlendirmek isteyebilir.Menisküs kök yırtıklarının tanısında en değerli yöntem manyetik rezonans görüntülemedir (MRG). MRG ile alınan özel koronal kesitler ile tanı doğrulanır. Ayrıca menisküsün eklem dışına itilme miktarı, kemik ödemi olup olmadığı ve dizdeki aşınmanın miktarı değerlendirilir. (Resim 2).
Menisküs kök yırtıklarında tedavi nasıldır?
Menisküs kök yırtıklarında tedavi şekli, eklemdeki aşınma/yıpranma miktarı ile ilişkilidir. Dizdeki aşınma çok fazla ise, kemik kemiğe temas ediyor ve arada hiç kıkırdak yastık kalmadıysa, sadece menisküs yırtığına müdahale etmek sorunu çözmez. Bu gibi durumlarda bir süre ilaç tedavisi, eklem içi enjeksiyonlar ve fizik tedavi yöntemleri denenir, fayda sağlanamaz ise kısmi ya da tam diz protezi uygulamaları gündeme gelir.Eklem kıkırdağının korunduğu, dizdeki aşınma miktarının az olduğu orta yaşlı hastalarda, yırtık taze ise artroskopik cerrahi ile onarım yapılabilir (Resim 3). Bu onarım başarılı olur ise menisküsün yük taşıma işlevi geri kazanılmış olur ve dizdeki aşınma ve yıpranma yavaşlatılabilir. Menisküsün eklem dışına itilmesi önlenerek hala yastık vazifesi görmesi sağlanabilir.
Teknik olarak zor olmasına rağmen, menisküs kök onarımı artroskopik olarak yapılabilir (Video 1). Eğer artroskopi sırasında menisküs onarılamayacak derecede hasarlı ise o zaman menisküs kenar tıraşlaması (parsiyel menisektomi) yapılarak yakınmalar bir süre rahatlatılabilir. Ancak onarım yapılmayan durumlarda, dizdeki artrozun ilerlemesi durdurulamaz.Video
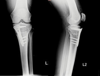
Menisküs onarımına ek olarak, eklem içinde gerekli kıkırdak girişimleri yapılmalı, bacakta varolan eğrilikler kemik ameliyatı ile düzeltilerek yük aksının yırtık bölgesinden geçmesi engellenmelidir. Doktorunuz, ameliyat öncesi aks grafileri ile bu işlemin gerekli olup olmadığına karar verecektir. (Resim 4)
