Prof. Dr. N. Reha Tandoğan - Op. Dr. Asım Kayaalp
Femur Başı Avasküler Nekrozu Nedir?
Femur Başı Avasküler nekrozu, kalça eklemini oluşturan kemiklerden birisi olan femur başının beslenme bozukluğuna bağlı gelişen ve uygun tedavi edilmezse eklemde geri dönüşü olmayan hasara yol açan bir hastalıktır. Femur başına giden damarların yaralanması veya tıkanması ile başlayan olaylar zinciri, çoğunlukla ilerleyicidir ve uygun tedavi edilmezse kalça protezi ile sonuçlanır. Femur başı avasküler nekrozu ile ağrılı kemik iliği ödemi karıştırılmamalıdır. İlki çoğunlukla ilerlerken, ikincisi çoğunlukla bir cerrahi tedavi gerektirmeden geriler.Femur Başı Avasküler Nekrozu Niye Ortaya Çıkar?
Femur Başı Avasküler nekrozu ya da diğer adı ile osteonekrozun birçok nedeni vardır. Femur boyun kırıkları veya kalça eklemi çıkıları sonrası olabileceği gibi, kortizon (steroid) kullanımı, alkolizm, ailevi kan hastalıkları (Orak hücreli anemi), romatizmal hastalıklar (SLE: sistemik lupus eritematozus), bazı lipid depo hastalıkları, organ nakli (böbrek ve karaciğer) sonrası ve dalgıçlarda vurgun sonrası görülebilir. Bazı hastalarda bariz bir sebep bulunamaz ve bunlara idiyopatik avasküler nekroz adı verilir. Kortizon kullanımı, COVİD tedavisinde yaygın olarak uygulanması sonrası genç erişkinlerde en sık görülen avasküler nekroz sebebi haline gelmiştir.Femur Başı Avasküler Nekrozunun Bulguları Nelerdir?
Femur başı avasküler nekrozunun en önemli bulgusu kasık ağrısıdır. Ağrı bacak boyunca dize kadar yayılabilir. Bazen bacak arkasına yayılır ve bel fıtığı ile karışabilir. Ağrı kalçanın içe dışa döndürme hareketleri ile ve yürümekle artar, dinlenmekle azalır. Kırık ve çıkıklara bağlı avasküler nekrozlar dışındakiler genellikle her iki kalçayı da tutar, çoğunlukla bir kalçadaki tutulum diğerinden daha fazladır. Femur başında çökme ve şekil bozukluğu olan hastalarda eklemde takılma hissi ve hareket kısıtlılığı belirgin hale gelir. Son evrede artık istirahatte de ağrı vardır.Femur Başı Avasküler Nekrozunun Tanısı Nasıl Konulur?
Femur başı avasküler nekrozu tanısında dikkatli bir muayene sonrası röntgen grafileri ve manyetik rezonans görüntüleme (MRG) ile tanı ve evreleme yapılır. Hastalığın ilerlemesi konusunda belirleyici olduğu için kullandığınız ilaçlar, alkol ve sigara miktarını mutlaka doktorunuz ile paylaşmanız gerekir. Hastalığın erken dönemlerinde röntgenler normal olabilir ancak aylar içinde femur başında değişiklikler ortaya çıkar. MRG ile hastalığın başlamasından 48 saat sonra tanı konulabilir. Femur başının tutulum miktarı ve femur başında çökme veya şekil bozukluğu olup olmaması hastalığın seyrini belirler ve tedavi planı yapmak için gereklidir. Ayrıca kan hastalıkları, pıhtılaşma bozuklukları ve lipid yüksekliği gibi durumların da araştırılması, tedavi planlamada önemli yer tutar.
Femur Başı Avasküler Nekrozunun Doğal Seyri Nasıldır?
Femur başı avasküler nekrozu çoğunlukla ilerleyicidir. Femur başını besleyen damarlarda kan akımının azalmasına bağlı olarak önce ödem ortaya çıkar, sonrasında pasta dilimi şeklinde başın bir bölümü veya tamamını tutan bölgede kemik ölümü meydana gelir. Başın şeklinin bozulmadığı bu durumda hala eklem koruyucu cerrahiler mümkündür. Sonrasında vücudun tamir mekanizmaları devreye girer ve ölü kemik ile canlı kemik arasında bir ayrışma oluşur, bu da femur başında çökme ve deformasyona yol açar. Bu aşamadan sonra femur başını koruyan cerrahilerin başarı olasılığı giderek azalır. Son evrede hem femur başı hem de karşısındaki yuvada (asetabulum) kıkırdak hasarı ortaya çıkar ve kalça protezi gerekir. İki taraflı avasküler nekrozu olan hastalarda başlangıçta bir tarafta hiç bulgu olmayabilir ancak bunların da % 50-70’inde ilerleyen zamanda bulgu ortaya çıkar, bu nedenle yakınması olsun olmasın her iki kalçanın da tedavi edilmesi gerekir. Sigara ve alkol kullanımı, kortizon kullanımının devam etmesi ve orak hücreli anemi varlığında hastalığın ilerleme riski daha yüksektir. Buna karşın SLE hastalığında ilerleme riski daha azdır.
Femur Başı Avasküler Nekrozunun Tedavisi Nasıldır?
Femur başı avasküler nekrozunun tedavisinde birçok ilaç, fiziksel ajan ve cerrahi yöntem denenmiştir ve hangi yöntemin üstün olduğu konusunda fikir birliği yoktur. Normalde osteoporoz (kemik erimesi) tedavisinde kullanılan bisfosfonatlar, kemik yıkımını engelleyen ilaçlardır ve avasküler nekroz tedavisinde de kullanılırlar. Hiperbarik Oksijen Tedavisi (HBO), kemik iliği ödemini azaltmada ve başın çökmesini önlemede etkindir. Şok dalgası tedavisi (ESWT) yurt dışında daha fazla kullanılmaktadır. Pıhtılaşma bozukluğu olan hastalarda kan sulandırıcı ilaçlar ya da lipid yüksekliği olan hastalarda statin adı verilen lipid düşürücü ilaçlar etkili olabilir.Genel olarak kabul edilen görüş, femur başında çökme ortaya çıkmadan önce en etkili tedavi yönteminin cerrahi tedavi olduğudur. İlaç tedavileri veya fiziksel ajanlar tek başlarına kullanılmaz ve genellikle cerrahiye yardımcı olarak tedaviye eklenirler. Kokteyl tedavisi adı verilen bu seçenekte cerrahi sonrası hiperbarik oksijen tedavisi ve 6 ay süreyle bisfosfonat kullanımının, diğer bütün yöntemlerden üstün olduğu gösterilmiştir.
Femur Başı Avasküler Nekrozunda Kalça Koruyucu Cerrahi Nasıl Yapılır?
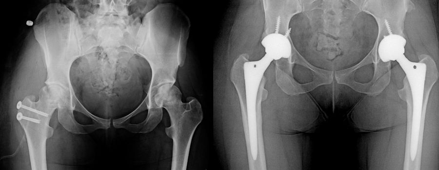
Femur başının yuvarlaklığının bozulmadığı ve çökmenin olmadığı evrelerde kalça eklemi koruyucu cerrahilerin başarısı %80’lerin üzerindedir. Bunun için kor dekompresyon ve greftleme adı verilen bir teknik tercih edilir. Önce ölü kemik bölgesine ulaşacak şekilde tüneller açılarak başın içindeki artmış basınç azaltılır. Bu tüneller aynı zamanda vücudun tamir hücrelerinin bölgeye ulaşması için yollar hazırlar. Geçmiş yıllarda 10-12 mm çapında büyük tüneller açılarak yapılan bu işlem, günümüzde çökme riskini azaltmak için küçük çaplı daha çok sayıda tüneller ile uygulanmaya başlamıştır. Bu işlem ameliyathane şartlarında, skopi (röntgen) kontrolü altında hasarlı bölgeye ulaşıldığından emin olunacak şekilde yapılır. Ölü kemik alanına 4-5 mm çapında çoklu tüneller açılır, bu tüneller içinden hasarlı bölgeye leğen kemiğinden alınan canlı kemik silindirleri yerleştirilir ve iyileşmeyi uyarmak için kök hücreden zengin kemik iliği konsantresi ve PRP karışımı eklenir. Böylece hem kemik içi artmış basınç normale getirilir hem hasarlı bölgeye canlı kemik ile mekanik destek sağlanır hem de kök hücreler ve PRP’nin içerdiği büyüme ve iyileşme faktörleri bölgeye ulaştırılmış olur. Ameliyat sonrası 6 hafta süreyle koltuk değneği ile kısmi yük verilerek yürümeye izin verilir. Altı ay süreyle koşma ve zorlayıcı sporlar uygun değildir. Bu süre içinde HBO ve bisfosfonat tedavisi devam eder.
Femur Başında Çökme Olduktan Sonra Nasıl Tedaviler Uygulanır?
Femur başında çökme meydana geldikten sonra kalça eklemini koruyan cerrahilerin başarı oranları bariz olarak azalır. Mikrocerrahi ile damarlı kemik nakilleri, ölü kemik bölgesini yük taşıyan bölgeden uzaklaştıran osteotomi ameliyatları ya da femur başındaki ölü kemiği tamamen kazıyıp, vücudun başka yerinden alınan canlı kemik dokusu ile doldurulduğu ampül (lightbulb) ameliyatları protez için yaşı çok genç olan hastalarda uygulanabilir. Bu cerrahilerin başarı oranları çok yüksek değildir, protezin bir süre ertelenmesi için uygulanabilirler.
Kalça eklem koruyucu cerrahilerin çökmeyi engelleyemediği veya hastalığın çok ilerlediği aşamada başvuran hastalarda, bir süre ağrı kesiciler ve aktivite sınırlaması ile takip yapılabilir. Başın şeklinin bozulduğu, ileri kıkırdak hasarı ve şiddetli yakınmaları olan hastalarda seçkin tedavi total kalça protezidir. Ağrıyı tamamen geçirme ve kalça hareketlerinin kazanılmasında protezden daha üstün bir tedavi yoktur. Buna karşın kalça protezi üst düzeyde darbeli sporlara izin vermez, yıllar içinde aşınma/gevşeme, %1 civarında enfeksiyon ve % 2 civarında çıkık riskine sahiptir. Özellikle genç hastalarda, protezin ömrünü uzatan ve çıkık riskini en aza indiren robotik cerrahi yöntemleri tercih edilmelidir.
